
¿Qué es la cariorrexis?
La cariorrexis es un fenómeno que ocurre en el núcleo de la célula durante el proceso de muerte celular no programada, es decir, cuando la célula muere antes de tiempo debido a algún tipo de daño, por lo general hipoxia (falta de oxígeno), toxinas o radiación ionizante.
Durante la cariorrexis, la cromatina se fragmenta en pequeños trozos, dispersándose dentro del núcleo celular de manera desorganizada. Debido a esto se pierde la capacidad de transcribir el ADN.
En conjunto con la cariólisis y la picnosis, la cariorrexis es uno de los cambios citopatológicos presentes en la necrosis.
Anteriormente, se pensaba que la cariorrexis, la cariólisis y la picnosis eran tres etapas secuenciales de un mismo proceso (la muerte celular). Sin embargo, estudios citopatológicos recientes indican que se trata de tres procesos separados que pueden superponerse o no.
La cariorrexis aparece durante el período de la muerte celular conocido como necrofanerosis, en el cual se presentan los cambios microscópicos que anteceden a la muerte celular.
Para entender mejor qué es la cariorrexis es necesario recordar algunos conceptos básicos de biología celular.
Cromatina
La cromatina es la forma en que se organiza el material genético dentro del núcleo de la célula cuando la misma no se está replicando.
La mayoría de las veces asociamos ADN a cromosomas y estos a su vez a la típica forma de X, con cuatro brazos más o menos alargados y un punto central redondeado.
Si bien esto es verdad para los cromosomas durante las fases activas de la mitosis y la meiosis, es decir, durante la división celular, lo cierto es que en el período conocido como interfase esta configuración “típica” no se presenta.
Dado que en la interfase la célula no se replica, sino que ejerce sus funciones fisiológicas, es necesario que el ADN esté más o menos accesible para unirse con el ARN, y así iniciar el proceso de síntesis de proteínas.
Importancia fisiológica de la cromatina
Si estuviese en su configuración de X, esto sería imposible dado que las cadenas de ADN se encontrarían muy apretadas entre sí, con muy poco o ningún espacio para el ARN.
Es por ello que durante la interfase el ADN se “desenrolla” formando un entramado de fibras más o menos caótico conocido como cromatina.
A nivel molecular, la cromatina está compuesta por dos componentes fundamentales: las proteínas y el ADN.
Las proteínas conocidas como histonas son una especie de carrete molecular en torno al cual se “enrollan” las hélices de ADN, de esta manera una hebra muy larga de ADN termina acortándose (por enrollamiento) y pareciéndose a las cuentas de un rosario.
Posteriormente, cada cuenta (formada por una histona con una vuelta y media de ADN) se entreteje con las adyacentes para apretar más aún las hebras de ADN entre sí, de manera que estén organizadas formando un patrón coherente (cromosoma).
Mientras más apretadas están entre sí las hebras de ADN, se dice que la cromatina está más condensada. Por el contrario, cuando las hebras se encuentran separadas entre sí y las cadenas de ADN están más laxas, se dice que la cromatina está menos condensada.
La cromatina más densa se conoce como heterocromatina y se trata de genes presentes, pero no activos. Por otra parte, la cromatina laxa se conoce como eucromatina y corresponde con los segmentos de ADN que se transcriben para la función de una célula en particular.
Fisiopatología de la cariorrexis
A diferencia de lo que ocurre durante la apoptosis (muerte celular programada) durante la cual una célula que llega al final de su vida se convierte en una célula senescente (vieja) y eventualmente muere sin generar inflamación y siendo sustituida por células más jóvenes, durante la necrosis las membranas celulares se rompen, iniciando un proceso inflamatorio más o menos severo.
Si bien la muerte celular es un proceso que afecta en simultáneo tanto al núcleo como al citoplasma, los cambios más precoces y evidentes son a nivel nuclear, siendo la cariorrexis uno de ellos.
En primera instancia, debido a la liberación de enzimas líticas, la cromatina comienza a fragmentarse. Tomando el ejemplo en la descripción de la cromatina, donde la organización de esta se compara con las cuentas de un rosario, al hablar de cariorrexis se puede decir que es como si el rosario se rompiera en varios segmentos.
Esta ruptura hace que la cromatina se disperse y se condense en núcleos individuales y no estructurados, los cuales en conjunto ocupan mucho más espacio que la cromatina organizada en la célula viable.
Este aumento del espacio necesario para contener la cromatina fragmentada hace que en última instancia la membrana nuclear estalle, posterior a lo cual los fragmentos de cromatina individuales mezclados con partes de la membrana nuclear forman un conglomerado amorfo en el área donde se encontraría el núcleo de la célula.
Una vez que el núcleo “explota”, ya es imposible para la célula cumplir con sus funciones vitales, por lo que la misma muere; esto quiere decir que cuando un patólogo observa cariorrexis en una muestra, la necrosis (muerte del tejido) es irreversible y todas las células comprometidas morirán inexorablemente.
Células donde se presenta la cariorrexis
Si bien la cariorrexis puede darse virtualmente en cualquier célula del organismo, es más común en ciertas células sanguíneas de la línea blanca (leucocitos), especialmente basófilos y eosinófilos.
Por otra parte, la cariorrexis se ve con cierta frecuencia en células del sistema nervioso central, especialmente en ciertos tumores, como el caso de los neuroblastomas.
Hallazgos a la microscopía de luz
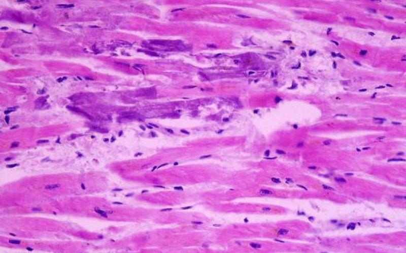
En el examen de tejido necrótico teñido con técnica de hematoxilina-eosina y en el cual se presenta cariorrexis como principal cambio nuclear asociado a la muerte celular, el anatomopatólogo y/o citotecnólogo encontrará cambios característicos que llevan al diagnóstico:
Basofilia
El material nuclear fragmentado capta mayor cantidad de hematoxilina, por tanto, el núcleo fragmentado y disperso se ve de un color púrpura más intenso.
Fragmentación del núcleo
Después de la cariorrexis, en el área donde debería encontrarse el núcleo de la célula normalmente, se visualiza material nuclear disperso en un conglomerado amorfo que no está circundado por ningún tipo de membrana.
Dado que la membrana nuclear se ha roto, el material nuclear se encuentra atomizado y disperso, aun guardando cierta relación entre sí, pero de manera totalmente desorganizada y sin capacidad funcional, “flotando” libre dentro del citoplasma.
Este hallazgo es inconfundible y sinónimo de muerte celular.
Referencias
- Abdelhalim, M. A. K., & Jarrar, B. M. Gold nanoparticles induced cloudy swelling to hydropic degeneration, cytoplasmic hyaline vacuolation, polymorphism, binucleation, karyopyknosis, karyolysis, karyorrhexis and necrosis in the liver. Lipids in Health and Disease.
- Gestblom, C., Hoehner, J. C., & Påhlman, S. Proliferation and apoptosis in neuroblastoma: subdividing the mitosis-karyorrhexis index. European Journal of Cancer.
- Eichner, E. R. Erythroid karyorrhexis in the peripheral blood smear in severe arsenic poisoning: a comparison with lead poisoning. American journal of clinical pathology.