
¿Qué es la citogenética?
La citogenética es el estudio de la morfología, estructura y funcionamiento de los cromosomas, incluyendo sus cambios durante las divisiones celulares de mitosis y meiosis.
La citología también estudia los factores que ocasionan cambios cromosómicos, incluyendo aquellos patológicos, que aparecen de una generación a otra, y evolutivos, que actúan a lo largo de muchas generaciones.
Historia de la citogenética
Los años y eventos memorables en la historia de la citogenética son los siguientes:
- 1842: Karl Wilhelm von Nägeli observó “citoblastos transitorios”, después llamados cromosomas.
- 1875: Eduard Strasburger identificó cromosomas en plantas. En 1979, Walther Flemming lo hizo en animales. Flemming acuñó los términos cromatina, profase, metafase, anafase y telofase.
- 1888: W. Waldeyer acuñó el término cromosoma.
- 1893: Oscar Hertwig publicó el primer texto de citogenética.
- 1902: Theodor Boveri y Walter Sutton descubrieron los cromosomas homólogos.
- 1905: Nettie Stevens identificó el cromosoma Y.
- 1937: Albert Blakeslee y A. G. Avery detuvieron la metafase con colchicina, facilitando notablemente la observación de cromosomas.
- 1968: Torbjörn Caspersson y colaboradores describieron las bandas Q. En 1971, Bernard Dutrillaux y Jerome Lejeune describieron las bandas R.
- 1971: se habló de bandas C en una conferencia sobre nomenclatura de cromosomas humanos.
- 1975: C. Goodpasture y S. E. Bloom describieron la tinción Ag-NOR.
- 1979: Jorge Yunis describió los métodos de alta resolución para bandas G.
- 1986-1988: Daniel Pinkel y Joe Gray desarrollaron la técnica FISH (fluorescent in situ hybridization).
- 1989: Hermann‐Josef Lüdecke microdisectó cromosomas.
- 1996: Evelyn Schröck y Thomas Ried describieron la tipificación cariotípica espectral multicromática.
Descubrimientos en humanos
- 1914: Theodor Boveri sugirió que el cáncer podría deberse a cambios cromosómicos. En 1958, Charles E. Ford observó anomalías cromosómicas durante la leucemia.
- 1922: Theophilus Painter publicó que los humanos tienen 48 cromosomas. Hubo que esperar hasta 1956 para que Jo Hin Tjio y Albert Levan estableciesen que realmente tienen 46.
- 1932: P. J. Waardenburg sugirió, sin probarlo, que el síndrome de Down podía ser el resultado de una aberración cromosómica.
- 1959: Jerome Lejeune demostró la presencia de un cromosoma somático adicional en pacientes con el síndrome de Down. También Charles E. Ford refirió que las mujeres con el síndrome de Turner carecen de uno de los dos cromosomas X, mientras que Patricia Jacobs y John Strong descubrieron la presencia de un cromosoma X adicional en los hombres con el síndrome de Klinefelter.
- 1960: J. A. Böök y Berta Santesson describieron la triploidía, Klaus Patau describió la trisomía 13, y John Edwards describió la trisomía 18.
- 1969: Herbert Lubs First descubrió el síndrome del cromosoma X frágil. Ese mismo año, comenzó a usarse la amniocentesis para el diagnóstico citogenético.
Campo de estudio de la citogenética
Los citogenetistas estudian la evolución cromosómica de los seres vivos, usando cariotipos para hacer análisis filogenéticos y resolver problemas taxonómicos.
Además, investigan aspectos epidemiológicos de las aberraciones cromosómicas humanas y los factores ambientales que las producen, diagnostican y tratan a pacientes afectados por anomalías cromosómicas, y desarrollan enfoques moleculares para descifrar la estructura, función y evolución de los cromosomas.
Morfología de los cromosomas
Cada cromosoma está compuesto de dos cromátidas, unidas por una constricción llamada centrómero. Las secciones de cromosoma que parten del centrómero se llaman brazos.
Los cromosomas se llaman metacéntricos cuando tienen el centrómero en su mitad, submetacéntricos, si lo tienen ligeramente alejado de la mitad, de modo que los brazos opuestos no son de igual longitud, acrocéntricos, si el centrómero está cerca de uno de los extremos, y telocéntricos si el centrómero está justo en uno de los extremos del cromosoma.
Técnicas de la citogenética para el procesamiento de muestras
Los pasos a dar para procesar las muestras son los siguientes.
- Obtención de la muestra. Adquisición del tejido requerido, almacenándolo en el medio y en viales adecuados.
- Cultivo. Con la excepción de muestras para análisis FISH, se requiere un período de cultivo de entre un día y varias semanas antes del cosechado.
- Cosechado. Es la obtención de células en metafase.
- Detención de la mitosis. El análisis citogenético estándar requiere detener la mitosis para que las células permanezcan en metafase, empleando para ello colchicina o Colcemid®.
- Tratamiento hipotónico. Incrementa el volumen de las células, lo cual permite a los cromosomas extenderse.
- Fijación. Se emplea 3:1 metanol-ácido acético para remover el agua de las células, endureciendo las membranas y la cromatina para la tinción.
- Preparación de láminas. Las células fijadas se extienden sobre láminas portaobjeto, tras lo cual son secadas.
- Tinción de cromosomas. Hay varios métodos de tinción para reconocer diferencias entre cromosomas. El más común es el bandeo G.
- Análisis microscópico. Permite escoger células adecuadas para observar y fotografiar cromosomas.
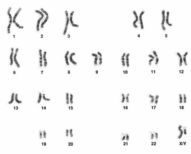
- Elaboración de cariogramas. Con base en fotografías de células en metafase, se componen para estudio posterior imágenes del conjunto de cromosomas de una célula representativa.
Bandas cromosómicas
Hay cuatro tipos de bandas cromosómicas: bandas heterocromáticas, bandas eucromáticas, regiones organizadoras de nucléolos (NORs), cinetocoros.
- Bandas heterocromáticas: se presentan como bloques discretos. Corresponden a la heterocromatina, la cual contiene secuencias de ADN altamente repetitivas que representan genes convencionales y no se descondensan en la interfase.
- Bandas eucromáticas: consisten en una serie de segmentos alternados que resultan o no afectados por la tinción. Estas bandas difieren en tamaño, formando patrones distintivos característicos de cada par de cromosomas de una especie, lo que las hace muy útiles para identificar translocalizaciones y rearreglos cromosómicos.
- NORs: son aquéllos segmentos de los cromosomas que contienen cientos o miles de genes del ARN ribosómico. Comúnmente se visualizan como constricciones.
- Cinetocoros: son los sitios de unión del huso de microtúbulos a los cromosomas.
Tinción de bandas cromosómicas
El bandeo de cromosomas consiste en técnicas de tinción que revelan patrones de diferenciación longitudinal (regiones claras y oscuras) que de otra manera no podrían verse. Estos patrones permiten comparar especies diferentes y estudiar cambios evolutivos y patológicos a nivel de cromosomas.
Los métodos de bandeo de cromosomas se dividen en aquellos que usan tinción de absorción, típicamente pigmentos Giemsa, y aquellos que usan fluorescencia. Los métodos de tinción de absorción requieren un tratamiento físico-químico preliminar.
Algunos tipos de bandeo permiten evidenciar patrones de regiones restringidas de los cromosomas relacionados con propiedades funcionales. Otros permiten visualizar diferencias entre cromosomas homólogos que hacen posible la identificación de segmentos.
- Bandas C. El bandeo C tiñe la mayoría de las bandas heterocromáticas, por lo cual es la técnica universal para evidenciar la presencia de heterocromatina en los cromosomas. Otros métodos tiñen solo parte de la heterocromatina total, por lo cual son más útiles que el bandeo C para diferenciar entre tipos de heterocromatina.
- Bandas Q. El bandeo Q es la técnica de tinción más antigua. Debe su nombre al empleo de quinacrina. Es efectivo independientemente del método de preparación de los cromosomas. Es un método alternativo al bandeo G. Se emplea poco, pero su fiabilidad lo hace útil cuando el material es escaso o difícil de bandear.
- Bandas G. El bandeo G, basado en el uso de Giemsa y tripsina, es el más usado actualmente. Permite la detección de translocalizaciones, inversiones, deleciones y duplicaciones. Es el método más utilizado para la caracterización de cariotipos en vertebrados, evidenciando diferencias entre cromosomas que no pueden distinguirse basándose solo en su morfología.
- Bandas R. El bandeo R produce un patrón de tinción inverso con respecto al bandeo G (las bandas R claras equivalen a las bandas G osscuras y viceversa). El bandeo R es particularmente útil para destacar los extremos de cromosomas, que son levemente teñidos cuando se usa el bandeo G.
- Bandas T. El bandeo T es una variante del bandeo R, en la cual no hay tinción de la mayoría de las bandas intersticiales de los cromosomas, de modo que las regiones terminales de los cromosomas resultan intensamente teñidas.
- Bandas Ag-NOR. El bandeo Ag-NOR se emplea para localizar NORs mediante la tinción con plata. En el bandeo Ag-NOR los genes NOR inactivos pueden no resultar teñidos. Por ello, este bandeo se usa para estudiar cambios en la actividad de genes ribosómicos durante la gametogénesis y el desarrollo embrionario.
- Hibridización in situ fluorescente (FISH). El bandeo FISH permite visualizar cromosomas mediante sondas marcadas fluorescentemente. La tecnología FISH facilita el análisis cariotípico de células que no están en división. Contribuye a la detección de secuencias de ADN específicas en cromosomas, células y tejidos. Por ello puede emplearse para detectar anomalías cromosómicas que involucran pequeños segmentos de ADN. Este bandeo abrió el camino a dos técnicas relacionadas más sofisticadas, conocidas como cariotipificación espectral (SKY, spectral karyotyping) y FISH multicromático (M-FISH, multicolour FISH). En ambas se emplean pigmentos fluorescentes, los cuales, conjuntamente, producen combinaciones de colores, una para cada cromosoma. Estas técnicas han resultado muy útiles para detectar aberraciones cromosómicas complejas, como las que se observan en ciertos tumores y en la leucemia linfoblástica aguda.
Aplicaciones médicas de la citogenética
- Citogenética del cáncer. Las aberraciones cromosómicas y la aneuploidía son frecuentes en tumores. Las translocalizaciones cromosómicas pueden tener efectos carcinogénicos mediante la producción de proteínas de fusión. La citogénetica se emplea para monitorear el progreso de tratamientos contra el cáncer.
- Sitios frágiles y fractura de cromosomas. Los sitios frágiles de los cromosomas pueden producir patologías como el síndrome del cromosoma X frágil. La exposición a agentes citotóxicos puede producir fractura de cromosomas. Los portadores de ciertas mutaciones autosómicas carecen de la capacidad de reparar el ADN dañado durante la fractura de cromosomas.
- Anomalías numéricas de los cromosomas. El conteo de cromosomas permite diagnosticar trisomías, como la que produce los síndromes de Down, de Edwards y de Patau. También permite diagnosticar los síndromes de Turner y Klinefelter.
- En la leucemia mielógena crónica, los glóbulos blancos poseen un “cromosoma Philadelphia”. Este cromosoma anormal es el resultado de la translocalización de los cromosomas 9 y 22.
Referencias
- Cregan, E. R. C. All about mitosis and meiosis. Teacher Created Materials Publishing.
- Gersen, S. L., Keagle, M. B., eds. The principles of clinical cytogenetics. Springer.
- Lawce, H. J., Brown, M. G. Cytogenetics: an overview. Wiley.
- Schubert, I. Chromosome evolution. Current Opinion in Plant Biology.
- Schulz-Schaeffer, J. Cytogenetics – plants, animals, humans. Springer-Verlag.