
¿Qué es un infarto lacunar?
Un infarto lacunar es un tipo de accidente cerebrovascular donde se bloquea el flujo de sangre en un grupo de arterias muy pequeñas del interior del cerebro, principalmente las que suministran sangre a zonas profundas cerebrales. En este tipo de infartos, las lesiones tienen de 2 a 20 mm de diámetro.
Generalmente los infartos afectan el tejido cerebral de la corteza cerebral o a estructuras más profundas debajo de esta. Cuando un accidente cerebrovascular afecta una zona profunda del cerebro se denomina infarto lacunar.
El infarto lacunar se produce con mayor frecuencia en los ganglios basales, en la cápsula interna, en el tálamo, en la corona radiata y en la protuberancia. Es decir, estructuras subcorticales que están en la profundidad del cerebro.
Este infarto es muy peligroso, ya que las áreas que pueden verse afectadas son las que ayudan a transmitir información entre el tronco cerebral y la corteza cerebral. Es decir, las que controlan movimientos, tono muscular o percepción.
Características del infarto lacunar

– Tamaño pequeño. Lesiones pequeñas (generalmente menores de 15 mm). Se localizan en zonas profundas del cerebro.
– Ubicación profunda. Suele afectar estructuras como ganglios basales, cápsula interna, tálamo o tronco encefálico.
– Causa principal. Obstrucción de arterias perforantes pequeñas. Asociado principalmente a hipertensión arterial crónica, diabetes o aterosclerosis de pequeños vasos.
– Inicio súbito. Los síntomas aparecen de forma repentina. Puede ocurrir durante el reposo o el sueño.
– Buen pronóstico relativo. En muchos casos, la recuperación es favorable. Sin embargo, múltiples infartos lacunares pueden provocar demencia vascular.
Síntomas de un infarto lacunar
La presencia repentina de los síntomas puede ser una advertencia de que un accidente cerebrovascular está en curso. Algunas veces el flujo sanguíneo puede estar bloqueado durante unos minutos.
Si la obstrucción se disuelve sin causar daño, los síntomas pueden desparecer rápidamente. Así, puede ocurrir que los síntomas se vayan sin tratamiento y se dé una recuperación completa en las 24 horas siguientes. Esto se denomina ataque isquémico transitorio.
Sin embargo, si se presentan los síntomas de un infarto lacunar, lo más indicado no es esperar, sino acudir de forma inmediata al servicio de urgencias para recibir un tratamiento lo antes posible. El tiempo es fundamental en el tratamiento, ya que si el infarto se trata rápidamente la recuperación total es posible.
El médico y neurólogo canadiense Miller Fischer, describió los primeros síndromes lacunares. Entre ellos, los más comunes son:
- Síndrome motor puro/hemiparesia. El paciente presenta una parálisis o reducción de la fuerza que afecta con la misma intensidad a cara, brazo y pierna del mismo lado del cuerpo. Este es uno de los síntomas más comunes, estando presente casi en el 50% de las personas con infarto lacunar.
- Hemiparesia atáxica. Debilidad o torpeza en un lado del cuerpo de la persona. A menudo las piernas están más afectadas que los brazos.
- Torpeza en las manos y disartria. Se caracteriza principalmente por falta de habilidad y precisión en los movimientos de las manos. Se acompaña de debilidad facial, lo que provoca dificultades para articular las palabras (disatria).
- Síndrome sensitivo puro. Son alteraciones en la sensibilidad que pueden producirse a un solo lado del cuerpo. El paciente puede sentir un entumecimiento persistente o transitorio, dolor o ardor en la zona afectada.
- Síndrome sensitivo-motor. Los pacientes experimentan una combinación de hemiparesia (disminución de la fuerza de un lado del cuerpo) y hemiplejía (parálisis de un lado del cuerpo). Además de una alteración sensorial en ese lado del cuerpo. También se pueden presentar dolor de cabeza, confusión, problemas de memoria, y pérdida de conciencia.
- Deterioro cognitivo. Otra consecuencia del infarto lacunar es el deterioro cognitivo, sobre todo si son múltiples infartos. Las más comunes son alteraciones en las funciones ejecutivas, como la fluencia semántica o la memoria verbal a corto plazo. En una persona que tenga la presión sanguínea alta de manera prolongada y que no haya recibido tratamiento, pueden presentarse varios infartos lacunares. Esto puede causar demencia, que puede acompañarse de apatía, comportamiento desinhibido e irritabilidad.
Causas y factores de riesgo del infarto lacunar
El infarto lacunar se produce por la obstrucción de una arteria penetrante pequeña. La edad es un factor de riesgo a tener en cuenta, pues los infartos lacunares se producen en personas con edades comprendidas entre los 55 y los 75 años. Se presenta con mayor incidencia en los hombres. Algunos de los factores de riesgo más importantes son:
- Hipertensión. Diferentes estudios han demostrado que un gran porcentaje de personas que tienen un infarto lacunar presentan también hipertensión. La prevalencia de hipertensión es mayor en el infarto lacunar (más del 70%) que en otros tipos de ictus.
- Diabetes. Esta enfermedad es un factor de riesgo para el desarrollo de enfermedades de los vasos pequeños en todo el cuerpo, incluyendo el infarto lacunar.
- Enfermedades del corazón. Un factor de riesgo para sufrir infarto lacunar es la cardiopatía isquémica, producida cuando disminuye el flujo de sangre hacia el corazón por un bloqueo de las arterias. También puede desencadenar infarto lacunar la fibrilación auricular, enfermedad caracterizada por un ritmo cardíaco irregular.
- Otros factores que incrementan el riesgo
- Sedentarismo.
- Dieta no saludable.
- Colesterol alto.
- Tabaquismo, ya que afecta la oxigenación de la sangre. Promueve la mala circulación y enfermedades cardiovasculares.
- Consumo de alcohol.
- Apnea obstructiva del sueño.
- Abuso de drogas.
- Embarazo.
Diagnóstico del infarto lacunar
Un tratamiento de urgencia es fundamental para reducir los efectos de un infarto lacunar. Por tal razón, el diagnóstico debe realizarse lo antes posible.
Para ello, se efectúa un examen neurológico detallado para determinar si existe alguna afectación de las vías nerviosas.

También deben evaluarse si existen otras condiciones como la hipoglucemia (bajada de azúcar), la migraña, accidente cerebrovascular de la arteria cerebral media, así como otros subtipos de ictus, convulsiones, abscesos (infecciones que llegan al cerebro) o tumores.
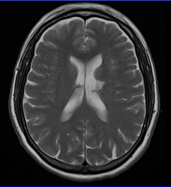
Si los síntomas indican que se ha producido un infarto lacunar, debe realizarse de inmediato una resonancia magnética o una tomografía computarizada. Esta última es necesaria para descartar una hemorragia intracerebral o un derrame cerebral.
También puede ser necesario utilizar un electrocardiograma para evaluar la actividad eléctrica del corazón. Así como un ultrasonido Doppler para medir la cantidad de sangre que hay en las venas y arterias. Es posible que se utilicen otras pruebas para medir la función hepática.
Si se sospechan de déficits cognitivos, es importante realizar una valoración neuropsicológica para comprobar el estado de la atención, memoria, orientación, etc. Y fijar un tratamiento adecuado.
Tratamiento para un infarto lacunar
El tratamiento urgente y precoz aumenta las posibilidades de sobrevivir y minimizar los daños. Al llegar al hospital, serán necesarias medidas de apoyo a la respiración y a las funciones cardíacas.
Si es posible iniciar el tratamiento a las tres horas del comienzo de los síntomas, se utilizarán medicamentos anticoagulantes para ayudar a la circulación. En casos más extremos se pueden aplicar fármacos directamente al cerebro.
Muchos de los medicamentos se utilizan para mejorar los resultados del infarto lacunar y para prevenir que sobrevengan otros accidentes cerebrovasculares posteriormente.
Rara vez se requiere la cirugía después de este infarto. Algunos pacientes pueden requerir alimentación por un tubo a largo plazo.
Los pacientes afectados por un infarto lacunar suelen necesitar rehabilitación general que incluye lo siguiente:
- Fisioterapia. Para restaurar funciones motoras, a través de ejercicios con las articulaciones afectadas. El fisioterapeuta debe tomar todas las precauciones para tratar y prevenir complicaciones de extremidades y articulaciones.
- Rehabilitación neuropsicológica. Para mejorar las funciones cognitivas que el infarto lacunar haya podido alterar. Durante estas sesiones se entrenarán los déficits del paciente mejorando su atención, memoria, lenguaje, funciones ejecutivas, etc.
- Un terapeuta ocupacional. Debe evaluar la necesidad de adaptar el domicilio del paciente a su condición física. El objetivo es facilitar la tarea para la familia y que éste recupere la confianza. Esta terapia debe animar al paciente a avanzar y recuperar acciones de la vida diaria como el vestido, aseo personal, preparar comidas y/o comer.
- Logopeda. También resulta fundamental el apoyo de un logopeda para realizar terapia del lenguaje. Generalmente los pacientes afectados por un infarto lacunar tienen trastornos del lenguaje y de la deglución. Una evaluación temprana previene la desnutrición, así como problemas respiratorios. El tratamiento puede implicar un cambio en la consistencia de los alimentos o de la técnica de deglución. Sin embargo, en casos más graves puede ser necesaria la colocación de un tubo de alimentación.
- Terapia psicológica. La terapia psicológica es necesaria para mejorar las habilidades necesarias para la vida diaria del paciente. Muchos pacientes después del infarto pueden sentirse deprimidos y asustados por la nueva situación. Es muy importante trabajar para que la persona pierda el miedo y recupere la confianza en sí misma, intentando llevar una vida lo más satisfactoria posible. El psicólogo debe ayudar al paciente a fijarse objetivos realistas para que vaya cumpliendo poco a poco. Es muy probable que sea necesario que los familiares reciban también terapia para afrontar el cambio.
- Trabajador social. Es muy aconsejable el apoyo de un trabajador social para que informe a la familia y a los pacientes acerca de las ayudas públicas disponibles. Así como para planificar el alta y la asistencia posterior.
- Fármacos. También resulta necesario un tratamiento a largo plazo que elimine las causas subyacentes. Por tal razón pueden recetarse medicamentos para la presión arterial y el colesterol alto, así como la diabetes.
Pronóstico ante un infarto lacunar
El infarto lacunar puede provocar daños cerebrales que dependerán de la zona afectada y de la gravedad del infarto. La recuperación varía según cada persona.
En muchos casos el paciente debe recibir terapia para recuperar sus habilidades y fuerza. Este proceso puede tomar un largo período de tiempo, quizás dos o tres años.
A largo plazo, la calidad de vida del paciente puede depender de su edad. También de la rapidez del tratamiento después de sufrir el infarto.
En algunos casos, los daños pueden generar incapacidades permanentes como entumecimiento, pérdida del control muscular a un lado del cuerpo, sensación de hormigueo o parálisis.
- Complicaciones. También existen otras complicaciones de los infartos lacunares como: la repetición del accidente cerebrovascular, la neumonía por aspiración (infección pulmonar por aspirar alimentos o líquidos hacia los pulmones) o trombosis. Asimismo, pueden sobrevenir otras dificultades como embolia pulmonar (un coagulo de sangre que tapona las arterias pulmonares), infecciones en el tracto urinario, dolor intenso que puede afectar una o más extremidades, o úlceras de decúbito (llagas que se producen cuando la piel presiona sobre una superficie más dura). Sin embargo, la supervivencia es más alta y el pronóstico es mejor para los pacientes con infarto lacunar comparados con otros afectados por otros tipos de ictus. Entre 70 y el 80% de los pacientes son funcionalmente independientes en un año. Comparados con menos del 50% de los que han sufrido otro tipo de accidentes cerebrovasculares. El riesgo de que se repita un infarto lacunar es de no más del 10% en un año, frente a un mayor riesgo en personas con otro tipo de ictus.
Prevención del infarto lacunar
Algunos hábitos pueden ser indicados para prevenir infartos lacunares, entre ellos están:
- Mantener una dieta saludable que incluya muchas frutas y verduras, evitando el consumo de grasas saturadas.
- Hacer ejercicio físico con regularidad.
- No fumar.
- Evitar el alcohol y drogas.
- Seguir el tratamiento indicado si se sufre de enfermedades del corazón o diabetes.
- Si se ha tenido un infarto lacunar, el médico puede recomendar la toma de una aspirina diaria u otro medicamento para diluir la sangre como ticlopidina o clopidrogel.
Si nunca se ha sufrido un infarto, pueden reducirse los riesgos de tenerlo tomando una aspirina diaria. Hay claras evidencias que esto es efectivo para mujeres mayores de 45 años, aunque no se ha probado que sea igual para hombres.
Referencias
- Arboix, A., Martí-Vilalta, J.L. Lacunar stroke. Expert review of neurotherapeutics.
- De Jong, G., Kessels, F., Lodder, J. Two types of lacunar infarcts. Stroke.
- Lacunar Stroke. Recuperado de emedicine.medscape.com.
- Lacunar Stroke. Recuperado de healthline.com.
- Lacunar Infarct, Clinical and Experimental Hypertension.