
¿Qué son las células aplanadas?
Las células aplanadas son uno de los 200 tipos de células que se organizan de manera conjunta para formar los diversos tejidos que existen en el cuerpo humano. Se encuentran predominantemente en los tejidos epiteliales, en conjunto con otras células de diferentes morfologías.
Los tejidos epiteliales, los tejidos conectivos, los tejidos musculares y los tejidos nerviosos son los cuatro tipos de tejidos descritos en el cuerpo humano. Todos ellos se agrupan, a su vez, para formar los órganos, unas estructuras especializadas que son parte de los sistemas del cuerpo.
El tejido epitelial se clasifica de acuerdo al número de capas celulares que existen entre la lámina basal y la superficie libre, y se conocen dos tipos: los epitelios simples y los estratificados. Los simples se componen de una sola capa de células, mientras que los estratificados pueden tener dos o más capas.
Una característica particular de los tejidos epiteliales es que presentan células con diferentes morfologías. Pueden tener células escamosas, también llamadas células aplanadas, células cuboidales o células cilíndricas.
De acuerdo con esto, pueden describirse epitelios “escamosos” simples y estratificados, epitelios “cuboidales” simples y estratificados, y así sucesivamente. Entre los epitelios escamosos están los epitelios escamosos estratificados no queratinizados y los epitelios escamosos estratificados queratinizados.
Las células aplanadas pueden identificarse como parte de los epitelios escamosos simples, de los estratificados no queratinizados y de los estratificados queratinizados.
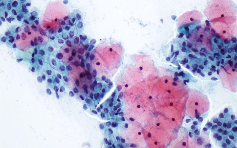
Características de las células aplanadas
- Forma. Son células poligonales muy delgadas. Si se observan desde la parte superior, se puede notar que tienen una superficie muy amplia, y un perfil muy delgado si se ve un corte transversal de estas. Son tan delgadas que su núcleo sobresale o protruye de la superficie.
- Alimentación. Gracias a ello, cuando forman parte de algunos epitelios estratificados, las células aplanadas pueden alimentarse por difusión de nutrientes que provienen de capas celulares más profundas, ya que algunas veces las capas más superficiales no tienen irrigación sanguínea.
- En los epitelios simples estas células se encuentran densamente agrupadas o “empaquetadas”, de tal manera que cuando se observan desde arriba, la superficie epitelial se asemeja a un mosaico de células con los núcleos centrales protruidos.
- En los epitelios estratificados pueden tener núcleos y formar parte de la superficie externa y húmeda de algunos tejidos, y constituir lo que se denomina epitelio escamoso estratificado no queratinizado.
- En otros órganos, la capa superficial del epitelio estratificado está compuesta por células aplanadas muertas, por lo que estas han perdido su núcleo y están llenas de queratina. Es por esta razón que a este tipo de epitelio se le denomina epitelio escamoso estratificado queratinizado.
Tipos de células aplanadas
Las células aplanadas pueden clasificarse en dos grupos:
- Células aplanadas con núcleo.
- Células aplanadas sin núcleo.
Un ejemplo de las células aplanadas sin núcleo son las células en la epidermis de la piel. Sin embargo, se consideran células muertas que serán descamadas y eliminadas, como es el caso de los queratinocitos.
Las células aplanadas con núcleo, en cambio, reciben nombres propios de acuerdo al órgano donde se ubica el epitelio del que forman parte. Por ejemplo, las que forman la pared alveolar reciben el nombre de neumocitos, y aquellas que tapizan los vasos sanguíneos y linfáticos se llaman células endoteliales.
Funciones y ejemplos de las células aplanadas
Células aplanadas como parte de epitelios escamosos simples
En los pulmones
Los epitelios escamosos simples formados por células aplanadas se encuentran en los alvéolos pulmonares, donde proveen una amplia superficie de contacto entre el aire alveolar (por un lado) y la sangre capilar por la pared externa del alvéolo (por el otro).
Debido a la estructura tan delgada de las células aplanadas, se facilita la difusión de los gases desde el alvéolo hacia la sangre capilar y viceversa, permitiendo que la sangre se equilibre con el gas alveolar al salir del alvéolo, transformándose la sangre venosa en sangre arterial.
En los riñones
Diferentes estructuras dentro de las nefronas del riñón también están compuestas por epitelios escamosos simples. En ellos, las células aplanadas participan del filtrado de la sangre que entra al riñón y la formación de la orina.
Los epitelios escamosos simples también se encuentran en la cavidad pleural y peritoneal, donde tienen una función lubricante que reduce la fricción y favorece el movimiento de las vísceras y de las capas pleurales entre sí.
En el sistema vascular
El endotelio vascular y linfático también está compuesto por epitelio escamoso, que provee una superficie lisa para la circulación sanguínea y linfática, y a nivel capilar permite el intercambio de líquidos, gases y nutrientes, así como desechos gaseosos y metabólicos procedentes de otros tejidos.
En el oído
Tapizando el oído medio y el oído interno, también se encuentran epitelios escamosos simples formados por células aplanadas.
Células aplanadas como parte de epitelios escamosos estratificados
Las células aplanadas que forman parte del epitelio estratificado no queratinizado recubren la boca, la epiglotis, el esófago, los pliegues de las cuerdas vocales y la vagina. En estas zonas, los epitelios mantienen las superficies húmedas y cumplen funciones de protección en dichos órganos.
En la piel
Las células aplanadas que forman parte del epitelio estratificado queratinizado (los queratinocitos) constituyen la epidermis de la piel (la capa más externa).
Su función es principalmente de protección, ya que la piel es el órgano más grande del cuerpo humano y lo protege del medio ambiente, colabora con el equilibrio hídrico y ayuda a mantener la temperatura corporal.
La epidermis no está compuesta únicamente por queratinocitos, pero sin duda son ellos unas de las células más abundantes en este tejido. Tienen un ciclo de vida entre 20 y 30 días, por lo que están en constante renovación, algo evidente en sus células “progenitoras” con altas tasas mitóticas (de división).
Cuando las células en las capas basales se dividen, estas empujan a las nuevas células hacia la superficie, y la reposición se va dando paulatinamente a medida que las más superficiales acumulan queratina, pierden sus núcleos, mueren y se “descaman”.
Referencias
- Despopoulos, A., & Silbernagl, S. Color Atlas of Physiology (5th ed.). Thieme.
- Dudek, R. W. High-Yield Histology (2nd ed.). Lippincott Williams & Wilkins.
- Gartner, L., & Hiatt, J. Texto Atlas de Histología (2nd ed.). McGraw-Hill Interamericana Editores.
- Johnson, K. Histology and Cell Biology (2nd ed.). The National medical series for independent study.
- Kuehnel, W. Color Atlas of Cytology, Histology, and Microscopic Anatomy (4th ed.). Thieme.