
¿Qué son las células parietales?
Las células parietales, oxínticas o delomorfas, son células pertenecientes a las glándulas gástricas o fúndicas, que se encuentran en el fundus, una región del estómago de los mamíferos. Son especialmente importantes, pues se encargan de la secreción del ácido clorhídrico y del factor intrínseco.
Para entender mejor las funciones de las células, habría que decir que el estómago de los mamíferos se divide en cuatro regiones anatómicas, conocidas como cardias, fundus, cuerpo y antro pilórico.
El cardias y el antro pilórico serían como los puntos de entrada y salida del estómago, que lo conectan con el esófago y el duodeno (primera porción del intestino delgado) mientras que el fundus y el cuerpo representan la porción más grande.
No obstante, de acuerdo con el tipo de glándula presente en cada región anatómica del estómago, algunos autores aseguran que se subdivide únicamente en tres regiones histológicas: la región cardial, la fúndica y la pilórica.
La región cardial se caracteriza por la presencia de las glándulas cardiales, las regiones fúndica y pilórica contienen las glándulas fúndicas y antrales, respectivamente. Las glándulas fúndicas son el tipo de glándula más abundante en el estómago (más del 75%).
Estas glándulas están compuestas por cinco tipos de células diferentes, a saber: las células mucosas, las principales, las enteroendocrinas, las indiferenciadas y las parietales.
Estas últimas fueron descritas por primera vez en 1870 y desde entonces han sido el foco de atención de numerosas investigaciones de diversa índole. Se piensa que por cada glándula fúndica existen alrededor de 70 o 90 células parietales.

Muchas enfermedades se relacionan con las células parietales, especialmente con los defectos de las mismas que se asocian con carencias en la producción y liberación del factor intrínseco, lo que origina importantes deficiencias de vitamina B12.
Características e histología de las células parietales
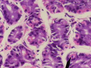
– Apariencia. Son células de aspecto redondeado, aunque en los cortes histológicos parecen más bien piramidales o triangulares, con lo que representaría el “vértice” del triángulo dirigido hacia la luz de la glándula y la “base” del mismo apoyada en la lámina basal, más cerca del epitelio mucoso.
– Tamaño. Son grandes, y poseen uno o dos núcleos prominentes en la región central del citosol.

– Distribución. No están equitativamente distribuidas, pues se concentran mayoritariamente en la región superior y media de las glándulas gástricas, donde se mezclan con las células del cuello y las células principales, otros tipos de células.
– Aspecto. Observadas bajo el microscopio óptico, presentan un elaborado sistema de invaginaciones en su porción apical, llamadas canalículos intracelulares. La función de estos canalículos es mediar la comunicación de las células, y en última instancia de las glándulas a las que pertenecen, con el lumen gástrico (el espacio interno del estómago).
– Mitocondrias. Otra característica importante es que estas células poseen una gran cantidad de mitocondrias estrechamente asociadas con unas microvellosidades que se entrelazan o “interdigitan” con los canalículos intracelulares descritos y con el abundante retículo endoplásmico liso que las caracteriza. El citosol, además, contiene lo que se ha denominado un sistema membranoso tubo-vesicular complejo, que disminuye o desaparece cuando las células están en un estado de secreción activa y que sirve de reserva para la membrana plasmática, rica en bombas de protones.
– Identificación. Gracias al exuberante número de mitocondrias presentes en su citosol, las células parietales pueden identificarse con relativa facilidad en cortes histológicos, pues se tiñen densamente con tintes acídicos como la eosina, el rojo Congo y el rojo rápido de bencilo.
Secreción de ácido clorhídrico y factor intrínseco de las células parietales
El ácido clorhídrico (HCl) secretado por las células parietales cumple la función hidrolítica necesaria para comenzar la digestión de las proteínas y otras moléculas contenidas en los alimentos que se ingieren.
Es muy importante para la activación de los zimógenos de enzimas proteolíticas (proteasas) como la pepsina, que se encarga de la digestión de las proteínas.
Su secreción es estimulada en estas células gracias a la presencia de tres tipos de receptores de membrana, que activan la producción de HCl respondiendo a la presencia de acetilcolina, histamina y, en especial, de gastrina.
- Proceso. El proceso de secreción de ácido clorhídrico no es nada trivial y comienza con:
- Producción de protones (H+) en el citosol de las células parietales gracias a la acción enzimática de la anhidrasa carbónica, que hidroliza ácido carbónico a protones e iones bicarbonato (HCO3-).
- Los protones posteriormente son transportados desde el citosol de la célula parietal hacia la luz de los canalículos. En este transporte participa una ATPasa de sodio (Na+) y potasio (K+) que transporta K+ hacia el citosol y expulsa protones hacia los canalículos.
- Otros canales de transporte de K+ y de cloro (Cl-) (uniport) en la membrana plasmática se encargan del transporte de estos iones desde el citosol de las células parietales hacia los canalículos, y a partir de los protones y los iones cloruro finalmente se forma el ácido clorhídrico (HCl).
- Regulación. La secreción del ácido clorhídrico es un proceso sumamente regulado y algunos autores consideran que ocurre en diferentes etapas o fases, conocidas como fase cefálica, fase gástrica y fase intestinal.
- Fase cefálica: depende del nervio vago y está mediada principalmente por estímulos sensoriales como el olor, la vista y el sabor. El nervio vago ejerce sus efectos en la secreción de HCl bien por estimulación directa (mediada por la acetilcolina) o indirecta (relacionada con la gastrina).
- Fase gástrica: representa más de la mitad de la respuesta secretora durante la ingesta de comida. En este punto, muchos factores estimulan la síntesis de HCl, incluso algunos factores externos como la cafeína, el alcohol y el calcio.
- Fase intestinal: implica la acción reguladora de hormonas como la secretina, la somatostatina y la neurotensina aguas abajo del estómago.
Como también se ha mencionado, el factor intrínseco es producto de secreción de las células parietales en los mamíferos. Este factor es una glucoproteína de 45 kDa, cuya secreción es estimulada por los mismos elementos que activan la secreción del ácido clorhídrico.
Funciones de las células parietales
- Secreción de ácido clorhídrico. Secretan esta sustancia, fundamental para la estructura glandular a la que pertenecen, y también para las funciones digestivas del estómago.
- Secreción de bicarbonato (HCO3-). Lo hacen hacia el torrente sanguíneo y el denominado factor intrínseco, imprescindible para la absorción de la vitamina B12 y el único elemento de secreción estomacal verdaderamente esencial, pues los seres humanos no pueden vivir sin él.
- Otras funciones. El ácido clorhídrico no sólo activa el pepsinógeno, también impone las condiciones necesarias para la hidrólisis proteica y genera un microambiente bacteriostático que previene el crecimiento de bacterias potencialmente patogénicas que pueden ingresar con los alimentos.
Enfermedades relacionadas con las células parietales
- Anemia perniciosa. La anemia perniciosa es una condición clínica causada por la falta de vitamina B12, que se absorbe en el íleon en presencia del factor intrínseco secretado por las células parietales. Otros problemas digestivos relacionados tienen que ver con lo delicado del proceso de secreción de ácido clorhídrico, pues cualquier interrupción o defecto en los componentes necesarios para tal fin prácticamente “inactiva” las células y les impide cumplir sus funciones digestivas.
- Gastritis. La gastritis o las úlceras gástricas causadas por infecciones con Helicobacter pylori a menudo implican la producción exacerbada de ácido clorhídrico. Sin embargo, algunos pacientes con infecciones similares presentan más bien cierto grado de hipoclorhidria, lo que significa que se inhibe la secreción de ácido en estas células.
- Atrofia. La atrofia de las células parietales es un evento relativamente común entre los pacientes y ello genera una inflamación gástrica continua, además de lesiones preneoplásicas. Asimismo, existen enfermedades autoinmunes que pueden ocasionar la “destrucción” apoptótica de estas células, lo que puede terminar como anemia perniciosa o gastritis, como en algunas infecciones con H. pylori. Esta inducción de la apoptosis en las células parietales puede deberse a la acción de diferentes citoquinas proinflamatorias, cuyas cascadas de señalización se activan en presencia de distintas condiciones.
- Enfermedades relacionadas con el estrés. Estar sometido permanentemente a condiciones o eventos estresantes puede tener serias implicaciones para la salud, especialmente desde el punto de vista gastrointestinal. Muchas personas actualmente padecen lceras gástricas ocasionadas por hipersecreción de ácidos gástricos, que tienen que ver directamente con la estimulación de las células parietales en las glándulas fúndicas. A pesar de que los mecanismos de acción de este tipo de patologías no están del todo resueltos, es cierto que afecta a diferentes tipos de personas y no siempre de la misma manera, pues los pacientes responden de formas fisiológicamente distintas al estrés, la ansiedad, la depresión, la culpa, el resentimiento y a otras emociones irritantes.
Referencias
- Feher, J. The Stomach. Elsevier Inc.
- Ito, S. The Endoplasmic Reticulum of Gastric Parietal Cells. Journal of Cell Biology.
- Kopic, S., Murek, M., Geibel, J.P. Revisiting the parietal cell. American Journal of Physiology – Cell Physiology.
- Merchant, J.L. Parietal Cell Death by Cytokines. Cellular and molecular gastroenterology and hepatology.
- Peters, M.N., Richardson, C.T. Stressful Life Events, Acid Hypersecretion, and Ulcer Disease. Gastroenterology.