Los cuerpos de Nissl, también llamados sustancia de Nissl, es una estructura que se encuentra en el interior de las neuronas. En concreto, se observa en el núcleo de la célula (llamado soma) y en las dendritas.
Los axones o prolongaciones nerviosas por las que viajan las señales neuronales nunca carecen de cuerpos de Nissl. Consisten en agrupaciones de retículos endoplasmáticos rugosos. Esta estructura solo existe en las células que tienen núcleo, como las neuronas.

Los cuerpos de Nissl sirven, principalmente, para sintetizar y liberar proteínas. Éstas son esenciales para el crecimiento neuronal y la regeneración de axones en el sistema nervioso periférico.
Los cuerpos del Nissl se definen como acumulaciones basófilas que se encuentran en el citoplasma de las neuronas, compuestos por retículos endoplasmáticos rugosos y por ribosomas. Su nombre proviene del psiquiatra y neurólogo alemán Franz Nissl (1860-1919).
Es importante saber que, en algunas condiciones fisiológicas y en ciertas patologías, los cuerpos de Nissl pueden cambiar e incluso disolverse y desaparecer. Un ejemplo es la cromatolisis, que se describirá más adelante.
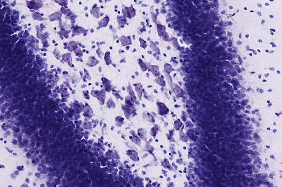
Los cuerpos de Nissl pueden observarse muy fácilmente en el microscopio óptico, ya que se tiñen selectivamente por su contenido de ARN.
[toc]
Descubrimiento de los cuerpos de Nissl
Hace unos años, los investigadores estaban intentando encontrar la forma de detectar la localización de los daños cerebrales. Para ello, se dieron cuenta que una buena manera de averiguarlo era teñir los somas (núcleos) de las células de los cerebros post-mortem.
A finales del pasado siglo, Franz Nissl descubrió un tinte llamado azul de metileno. Éste se utilizaba en un principio para teñir telas, pero se observó que tenía la capacidad de teñir los somas celulares del tejido cerebral.
Nissl se percató de que había elementos concretos en las neuronas que captaban el tinte, que adquirieron el nombre de “cuerpos de Nissl” o “sustancia de Nissl”. También se denomina “sustancia cromófila” por su gran afinidad a teñirse por colorantes básicos.
Observó que estaban compuestos de ARN, ADN y proteínas relacionadas en el núcleo de la célula. Además, también se encontraban dispersas en forma de gránulos por el citoplasma. Este último es un componente esencial de las células que se localiza dentro de la membrana plasmática pero fuera del núcleo celular.
Además del azul de metileno se utilizan otros muchos tintes para observar los somas de las células. El más usado es el violeta de cresilo. Esto ha permitido identificar masas de somas celulares, además de la localización de los cuerpos de Nissl.
Estructura y composición de los cuerpos de Nissl

Los cuerpos de Nissl son acumulaciones de retículo endoplasmático rugoso (RER). Estos son orgánulos que sintetizan y trasladan proteínas.
Se sitúan al lado de la envoltura del soma neuronal, unidos a ésta con el objetivo de captar la información necesaria para una correcta síntesis de proteínas.
Su estructura es un conjunto de membranas apiladas. Se denomina “rugoso” por su apariencia, ya que presenta además una gran cantidad de ribosomas dispuestos en espiral sobre su superficie. Los ribosomas son agrupaciones de proteínas y ácido ribonucleico (ARN) que sintetizan proteínas a partir de la información genética que reciben del ADN mediante el ARN mensajero.
Estructuralmente, los cuerpos de Nissl están formados por una serie de cisternas que se distribuyen por todo el citoplasma celular.
Estos orgánulos, al poseer una gran cantidad de ribosomas, contienen ácido ribonucleico ribosómico (ARNr) y ácido ribonucleico mensajero (ARNm):
ARNr
Es un tipo de ácido ribonucleico que procede de los ribosomas, y es fundamental para la síntesis de proteínas en todos los seres vivos. Es el componente más abundante de los ribosomas, encontrándose en un 60%. El ARNr es uno de los únicos materiales genéticos que se encuentran en todas las células.
Por otro lado, antibióticos como el cloranfenicol, la ricina o la paromomicina actúan incidiendo en el ARNr.
ARNm
El ARN mensajero es el tipo de ácido ribonucleico que transmite la información genética del ADN del soma neuronal a un ribosoma de la sustancia de Nissl.
De esta forma, define el orden en el que se van a unir los aminoácidos de una proteína. Trabaja dictando una plantilla o patrón para que esa proteína se sintetice de la manera correcta.
El ARN mensajero suele transformarse antes de realizar su función. Por ejemplo, se eliminan fragmentos, se añaden otros no codificados o se modifican ciertas bases nitrogenadas.
Las alteraciones en estos procesos pueden ser posibles causas de enfermedades de origen genético, mutaciones y el síndrome del envejecimiento prematuro (Progeria de Hutchinson-Gilford).
Funciones
Al parecer, los cuerpos de Nissl tienen la misma función que el retículo endoplasmático y el aparato de Golgi de cualquier célula: crear y segregar proteínas.
Estas estructuras sintetizan moléculas de proteína que son esenciales para la transmisión de impulsos nerviosos entre neuronas.
También sirven para mantener y regenerar las fibras nerviosas. Las proteínas sintetizadas viajan a lo largo de las dendritas y axones y sustituyen a las proteínas que se van destruyendo en la actividad celular.
Posteriormente, las proteínas sobrantes que producen los cuerpos de Nissl se transmiten al aparato de Golgi. Allí se almacenan temporalmente, y a algunas se les añaden hidratos de carbono.
Además, cuando se da algún daño en la neurona o problemas en su funcionamiento, los cuerpos de Nissl se movilizan y se reúne en la periferia del citoplasma para tratar de paliar los daños.
Por otra parte, los cuerpos de Nissl pueden almacenar proteínas para evitar que se liberen al citoplasma de la célula. Así, logra que éstas no interfieran con el funcionamiento de la neurona, liberándose sólo cuando se necesite.
Por ejemplo, si liberara sin control proteínas enzimáticas que degradan a otras sustancias, éstas eliminarían elementos vitales fundamentales para la neurona.
Alteraciones
La principal alteración asociada a los cuerpos de Nissl es la cromatolisis. Se define como la desaparición de la sustancia de Nissl del citoplasma después de una lesión cerebral y es una forma de regeneración axónica.
Los daños a los axones van a producir cambios estructurales y bioquímicos en las neuronas. Uno de estos cambios consiste en la movilización hacia la periferia y la destrucción de los cuerpos de Nissl.
Una vez que éstos desaparecen, el citoesqueleto se reestructura y se repara, acumulando fibras intermediarias en el citoplasma. Los cuerpos de Nissl también pueden desaparecer ante fatiga neuronal extrema.
Referencias
- Carlson, N.R. (2006). Fisiología de la conducta 8ª Ed. Madrid: Pearson.
- Endoplasmic reticulum. (s.f.). Recuperado el 28 de abril de 2017, de Wikipedia: en.wikipedia.org.
- Motor Neuron: Nissl Bodies. (s.f.). Recuperado el 28 de abril de 2017, de Yale University: medcell.med.yale.edu.
- Nissl bodies. (s.f.). Recuperado el 28 de abril de 2017, de Merriam- Webster: merriam-webster.com.
- Nissl body. (s.f.). Recuperado el 28 de abril de 2017, de Wikipedia: en.wikipedia.org.
- Nissl body. (s.f.). Recuperado el 28 de abril de 2017, de Wikiwand: wikiwand.com.