
¿Qué son los macrófagos?
Los macrófagos son células fagocíticas especializadas que pertenecen a uno de los muchos tipos de células presentes en los tejidos conectivos. Existen como células móviles y fijas, y son importantes efectores dentro del sistema inmunológico.
Pertenecen al sistema fagocítico mononuclear, que incluye, además de los macrófagos, los monocitos, los promonocitos y sus células precursoras. La función principal de las células pertenecientes a dicho sistema es “limpiar” la sangre, la linfa y otros tejidos mediante la ingestión o fagocitosis de diferentes partículas.
Los macrófagos derivan de la médula ósea, están distribuidos en todo el cuerpo y poseen diferentes formas y características, que muchas veces dependen del tejido donde se encuentren, de su grado de diferenciación y de la edad o del momento de la vida del organismo donde se estudien.
Son de las células más plásticas del sistema hematopoyético, ya que se encuentran en todos los tejidos del cuerpo y poseen diferentes funciones: participan en los procesos de desarrollo, en el mantenimiento de la homeostasis corporal, en la reparación de tejidos y en el sistema inmune.
Una de sus funciones principales está íntimamente asociada con la defensa inmunológica del organismo, puesto que su actividad fagocítica es regulada por los componentes del sistema de complemento y las inmunoglobulinas (ambos componentes del sistema de respuesta inmune).
Fueron descubiertos hace más de un siglo, pero se han definido como células “ancestrales” en la filogenia de los metazoos. Durante su descubrimiento se resaltó no solo su propiedad fagocítica sino su capacidad para distinguir entre lo propio y lo extraño, con lo que nació el concepto de inmunidad innata.
Descubrimiento de los macrófagos
Las primeras células fagocíticas fueron descritas a partir de un estudio realizado con ranas en 1883 por el zoólogo ruso Elie Metchnikoff, quien no solo describió su función en la defensa contra agentes extraños, sino también su capacidad para eliminar células moribundas o senescentes en el hospedador e identificar lo propio de lo extraño.
Metchnikoff fue un destacado investigador, catalogado como el padre de la inmunología moderna, que realizó importantes contribuciones al desarrollo de la inmunología como una nueva disciplina. Sus hallazgos establecieron también una relación de homología entre el sistema inmune de los invertebrados y el de los mamíferos.
Con su descripción de los fagocitos y de los procesos fagocíticos, este investigador, galardonado con un premio Nobel en 1908, descubrió uno de los mecanismos más intrigantes de la inmunidad innata.
Sus experimentos consistieron en “desafiar” o “molestar” con espinas a larvas de una especie de estrella de mar con la finalidad de estimular sus células inmunológicas y estudiar su reacción ante la invasión de estos agentes extraños. Con esto observó la aparición de unas células con características especiales que se “comían” estas estructuras.
Acuñó el término “fagocitos” (del griego phago, “devorar”, y citos, “célula”) a las células que observó, y al proceso que realizaban “fagocitosis”, pero la relevancia de este descubrimiento no se hizo evidente hasta algunos años más tarde, con los descubrimientos de Paul Ehrlich relacionados con la inmunidad humoral y los anticuerpos.
Características de los macrófagos
- Fagocitosis. Son conocidos por su capacidad de fagocitar (ingerir y degradar) partículas extrañas, como bacterias, virus, células muertas y otros desechos celulares. Esta función es esencial para eliminar agentes infecciosos y mantener la salud del tejido.
- Presentación de antígeno. Desempeñan un papel fundamental en la presentación de antígenos a las células del sistema inmunológico adaptativo, como los linfocitos T. Al presentar fragmentos de los patógenos fagocitados en su superficie, ayudan a activar una respuesta inmunitaria específica.
- Secreción de citocinas. Producen y liberan diversas citocinas, proteínas señalizadoras que regulan la respuesta inmunológica y la inflamación. Algunas citocinas tienen efectos proinflamatorios para combatir infecciones, mientras que otras tienen efectos antiinflamatorios para limitar la respuesta inmunitaria.
- Diferenciación en tejidos. Pueden diferenciarse en diferentes tipos de tejidos, lo que les permite adaptarse a las necesidades específicas de cada uno. Por ejemplo, en el tejido pulmonar, se les llama “macrófagos alveolares”, y en el hígado, “células de Kupffer”.
- Eliminación de células muertas. Además de eliminar patógenos, los macrófagos también eliminan células dañadas o muertas del cuerpo. Esto es vital para el mantenimiento de la homeostasis y la reparación de tejidos.
- Reconocimiento de patrones moleculares. Pueden reconocer patrones moleculares conservados en los patógenos, como los patrones del ácido ribonucleico (ARN) y del ácido desoxirribonucleico (ADN) bacteriano. Esto les permite identificar la presencia de agentes infecciosos.
- Longevidad y persistencia. Pueden residir en los tejidos durante largos períodos de tiempo y mantener una vigilancia constante contra posibles amenazas.
- Movilidad de las células. Puesto que son células móviles, algunos macrófagos presentan repliegues en su membrana plasmática. Cuando se disponen a fagocitar partículas de gran tamaño, pueden fusionarse con otras células para formar lo que algunos autores denominan “célula gigante de cuerpo extraño”, un macrófago gigante multinucleado.
Formación de los macrófagos
El sistema fagocítico mononuclear es un linaje hematopoyético que deriva de células progenitoras de la médula ósea. Los progenitores comprometidos se diferencian para formar los monocitos sanguíneos, que viajan por el torrente e ingresan a los tejidos para convertirse en macrófagos residentes.
La formación del sistema fagocítico mononuclear comienza con las células más “inmaduras”, los promonocitos, células replicativas que dan origen a los monocitos. Estos últimos son los que abandonan la médula ósea y alcanzan el torrente sanguíneo, donde, en las siguientes 8 horas, crecen y se diferencian en los monocitos maduros.
En los lugares donde los monocitos maduros encuentran condiciones “favorables” para la fagocitosis, se diferencian en lo que se conoce como macrófagos residentes, puesto que no se encuentran libres en circulación. Es entonces cuando son equipados con todo el aparato adecuado para la digestión de las partículas a fagocitar.
La diferenciación implica diversos cambios: crecimiento del cuerpo celular (por lo menos 5 veces el tamaño del monocito original), aumento del número y complejidad de orgánulos internos, adquisición de la capacidad fagocítica (acumulación de enzimas hidrolíticas) y secreción de factores solubles.
Estas células se distribuyen en todas las regiones del cuerpo. Algunas tienen preferencias especiales por ciertos tejidos (fijos), mientras que otras retienen su capacidad de desplazamiento (ameboide) y están libres o errantes.
Histología de los macrófagos
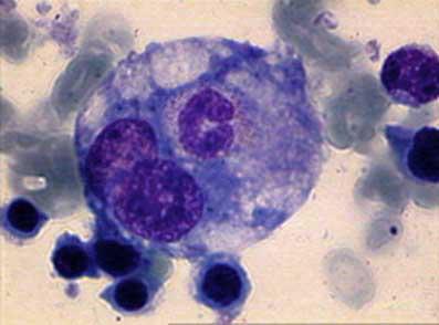
Los macrófagos poseen una morfología sumamente variable debida, en gran parte, a su condición móvil, puesto que son capaces de desplazarse entre y a través de diferentes tejidos. Tienen formas irregulares, son aplanados y a menudo muestran procesos tipo pseudopodios para desplazarse.
El cuerpo celular de los macrófagos puede medir hasta 30 μm de diámetro, y en su citoplasma se observa un solo núcleo de forma irregular, con una o dos hendiduras prominentes que le dan forma de riñón y una región densa formada por heterocromatina.
Poseen diversas vacuolas que aportan enzimas y espacios adecuados para fagocitar partículas como microorganismos o restos celulares. Además, poseen variedad de lisosomas, “fagosomas”, cuerpos multivesiculares y cuerpos residuales. Por ello, bajo el microscopio, se dice que presentan un citoplasma “granular”.
Ya que para ejercer su función necesitan de la síntesis de gran cantidad de enzimas hidrolíticas, estas células presentan un retículo endoplásmico muy desarrollado, así como un complejo de Golgi prominente para ejercer las funciones de transporte vesicular de estas enzimas.

Los macrófagos poseen arreglos corticales de microfilamentos de actina, que son característicos para este tipo de células. También se observan numerosos microtúbulos y filamentos intermedios que emplean para su desplazamiento ameboide y durante los procesos fagocíticos.
Puesto que son células fagocíticas, es posible distinguirlas al inyectar tintes especiales (azul de tripano, carmino de litio o tinta India), ya que estas tinciones son fagocitadas y almacenadas en el citoplasma en forma de gránulos.
Tipos de macrófagos
En el cuerpo humano, los macrófagos se distinguen de acuerdo a su localización y su función. De esta manera, se conocen los macrófagos intestinales, los alveolares (en los pulmones), los histiocitos (en los tejidos conectivos), las células de Kupffer (en el hígado), las células mesangiales (en el riñón), las células microgliales (en el cerebro) y los osteoclastos (en el hueso).
Macrófagos intestinales
Representan una de las poblaciones de macrófagos más abundantes en el cuerpo y la primera línea de defensa (sistema inmune innato). Se encuentran en la lámina propia subepitelial.
Se encargan de regular las respuestas inflamatorias contra bacterias y contra los diferentes antígenos que puedan sobrepasar la barrera epitelial. Además, protegen la mucosa contra patógenos peligrosos y “depuran” el sistema de células muertas y otros desechos foráneos.
Los macrófagos intestinales poseen mecanismos especiales que los hacen capaces de distinguir entre microorganismos comensales no-patogénicos e invasores peligrosos.
Macrófagos alveolares
Macrófagos especializados que residen en los alvéolos pulmonares, unos compartimentos con grandes fluctuaciones medioambientales, relacionadas principalmente con la presión parcial de oxígeno. Son una de las pocas poblaciones celulares que se encuentran en estos espacios, además de algunos linfocitos.
Así como otros macrófagos, tienen importantes funciones en la “limpieza” de las células apoptóticas y otros restos celulares. También están implicados en la depuración de partículas contaminantes que entran por el tracto respiratorio, y participan, además, en diferentes procesos inmunológicos.
Histiocitos
El término “histiocito” se emplea comúnmente para designar todas las células con características y ascendencia tipo-macrófago que se encuentran en los tejidos conectivos.
Es decir, se refiere a las células diferenciadas que provienen de los linajes monocito/macrófago, incluyendo a los macrófagos sinusoidales del bazo, los macrófagos alveolares en los pulmones y las células de Kupffer en el hígado.
Al igual que los demás tipos de macrófagos, los histiocitos defienden al cuerpo de los microorganismos invasores y de partículas orgánicas o inorgánicas no deseadas, y también participan en la presentación de antígenos a los linfocitos T como iniciación de la respuesta inmune.
Células de Kupffer
Son un tipo de célula hepática que se clasifica dentro del grupo de macrófagos residentes, que se relacionan con las células del revestimiento sinusoidal, que no es más que una capa de células que recubre los sinusoides, espacios vasculares de gran tamaño ubicados entre las placas de hepatocitos que conforman los lobulillos hepáticos.
Si se observa una micrografía electrónica de estas células, podrán apreciarse múltiples proyecciones citoplasmáticas, muchas mitocondrias, un retículo endoplásmico reducido, un pequeño complejo de Golgi y muchos lisosomas y endosomas.
Se considera que son células “basureras migratorias”, dado que no poseen conexiones intercelulares con sus células vecinas.
Células mesangiales
Son células residentes en los glomérulos del riñón, que son los sitios de este órgano donde se filtra la sangre y se sintetiza la orina. Entre sus funciones principales destacan la regulación del flujo sanguíneo y la fagocitosis, y están implicadas en diferentes patologías renales.
Poseen características de células de músculo liso modificadas, ya que tienen una contractilidad inherente, y son capaces de producir citocinas y endocitar macromoléculas como los complejos inmunológicos.
Células microgliales
Representan el 20% de las células en el sistema nervioso central y están relacionadas morfológica, inmunofenotípica y funcionalmente con las células del linaje monocito/macrófago.
Se activan en respuesta a una amplia variedad de afecciones o heridas en el cerebro y se encargan de la defensa contra microorganismos invasores.
Osteoclastos
Los osteoclastos son células del tejido óseo encargadas del proceso conocido como “resorción ósea”, fundamental para la homeostasis de este tejido conectivo, durante y después de la osteogénesis.
Sus funciones se relacionan con su capacidad de “hidrolizar” células apoptóticas o senescentes que componen el tejido óseo mediante la secreción de enzimas lisosomales y de otros iones que participan en el proceso.
Funciones de los macrófagos
- Fagocitosis. Se especializan en la fagocitosis, que implica la captura y degradación de partículas extrañas, como bacterias, virus, hongos y células muertas. Al fagocitar patógenos, los macrófagos ayudan a eliminar las infecciones y prevenir su propagación.
- Presentación de antígenos. Desempeñan un papel fundamental en la presentación de antígenos a las células del sistema inmunológico adaptativo, como los linfocitos T. Con ello, inician y regulan respuestas inmunitarias específicas.
- Regulación de la inflamación. Cumplen un papel en la resolución de la inflamación. Después de que se elimina la amenaza inicial, los macrófagos antiinflamatorios (M2) contribuyen a reducir la respuesta inflamatoria y promover la curación del tejido.
- Limpieza de desechos. Además de eliminar patógenos, los macrófagos también fagocitan células muertas, detritos celulares y componentes celulares dañados. Esto ayuda a mantener el equilibrio en el entorno tisular y prevenir la acumulación de materiales no deseados.
- Promoción de la reparación tisular. También participan en la remodelación del tejido y la promoción de la cicatrización de heridas. Liberan factores de crecimiento y otras señales que estimulan la regeneración celular y la formación de nuevos vasos sanguíneos.
- Vigilancia constante. Residen en los tejidos y realizan una vigilancia constante en busca de signos de infección o daño. Su presencia continua ayuda a detectar y responder rápidamente a cualquier amenaza.
- Interacción con otros tipos celulares. Interactúan con una variedad de células inmunológicas y no inmunológicas en el cuerpo, incluidos otros tipos de leucocitos, células dendríticas y células epiteliales, para coordinar respuestas inmunológicas y mantener la homeostasis.
Referencias
- Cline, M. Histiocytes and Histiocytosis. Blood.
- Dudek, R. W. High-Yield Histology (2nd ed.). Philadelphia: Lippincott Williams & Wilkins.
- Gartner, L., & Hiatt, J. Texto Atlas de Histología (2nd ed.). McGraw-Hill Interamericana Editores.
- Gordon, S. The macrophage: Past, present and future. European Journal of Immunology.
- Hume, D. A. The mononuclear phagocyte system. Current Opinion in Immunology.