Skip to content
Lifeder

Lifeder

Ciencia, Educación, Cultura y Estilo de Vida

  • Ciencia
    • Biología
      • Anatomía y fisiología
      • Animales
      • Biología celular
      • Botánica
      • Genética
      • Organismos
    • Física
    • Matemáticas
    • Medio ambiente
    • Química
    • Psicología
  • Humanidades
    • Administración y economía
    • Arte
    • Derecho
    • Filosofía
    • Historia
    • Lengua y literatura
  • Cultura general y sociedad
    • Tecnología
  • Frases
    • Frases de autores
    • Frases de temas
Ciencia » Biología » Biología celular » Bastones de Auer

Bastones de Auer

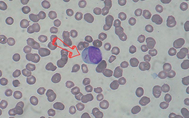
Un mieloblasto con un bastón de Auer. Fuente: Paulo Henrique Orlandi Mourao, CC BY-SA 3.0, Wikimedia Commons

¿Qué son los bastones de Auer?

Los bastones de Auer, o cuerpos de Auer, son gránulos anormales de origen lisosomal que aparecen en el interior de los leucocitos inmaduros de la serie mieloide en procesos patológicos, específicamente en las leucemias mieloides agudas.

Algunos autores los denominan corpúsculos de Auer, palillos de Auer o bastoncillos de Auer. Suelen aparecer en las leucemias mieloides agudas (LMA) M1, M2, M3, M4, entre otras. El nombre de estos bastones fue puesto en honor al fisiólogo John Auer.

Los precursores de las células granulocíticas pueden presentar cuerpos de Auer, especialmente en los mieloblastos y promielocitos. Estos cuerpos no son más que gránulos del tipo primario o azurófilos anormales.

Se forman por la fusión de los lisosomas, por tanto, son ricos en enzimas lisosomales y peroxidasa. Además, contienen precipitados cristaloides de naturaleza proteica.

Los cuerpos de Auer se ubican en el citoplasma de la célula y su observación ayuda en el diagnóstico de las leucemias mieloides, pues estos no aparecen en las leucemias linfoides. Por tanto, los cuerpos de Auer son un signo patológico característico de las células inmaduras de la serie mieloide.

Características de los bastones de Auer

– Forma. Los bastones de Auer son inclusiones citoplasmáticas cuya forma suele ser alargada, o de gránulo. Usualmente, está muy bien definido.

– Azurófilo. Se dice que son azurófilos porque tienen afinidad especial por un tipo de tinción, y se tiñen de un azul-púrpura característico.

– Asociación con leucemias mieloides. Su presencia es un indicador inequívoco de leucemia mieloide aguda. Estas inclusiones son características específicas de las células leucémicas mieloides y no están comúnmente en otras formas de leucemia. Por eso, las células que contienen los bastones de Auer son positivas ante la prueba de la mieloperoxidasa y el negro Sudán B, lo que evidencia que son células del linaje mieloide. 

Puede servirte:   Espermatocito primario

– Contenido granular. Contienen material granular específico en su interior. Este material granular está compuesto de gránulos primarios azurófilos y puede verse mediante técnicas de tinción adecuadas.

– Importancia diagnóstica. La detección de cuerpos de Auer en las células sanguíneas o en la médula ósea es un hallazgo crucial para el diagnóstico de leucemia mieloide aguda y contribuye significativamente a la clasificación de la enfermedad.

Patologías donde se presentan los bastones de Auer

Los cuerpos de Auer aparecen en las leucemias mieloides y no aparecen en las leucemias de tipo linfoide. Por ello, son considerados un signo patognomónico de los trastornos mieloproliferativos o mielodisplásicos.

En este sentido, se mencionan los tipos de leucemias según la clasificación del Grupo Franco-Americano-Británico (FAB) que pueden cursar con la presencia de cuerpos de Auer.

  • Leucemia mieloblástica aguda M1. Se caracteriza por presentar mayor porcentaje de blastos, que tienen un citoplasma agranulado y un núcleo con 2 o 3 nucléolos. Mientras que un porcentaje muy pequeño de los blastos puede presentar escasos gránulos azurófilos o bastones de Auer. Inclusive pudiesen estar ambas estructuras presentes.
  • Leucemia mieloblástica con maduración (M2). Es también llamada leucemia mielocítica aguda diferenciada o con maduración. En los frotis de sangre periférica de estos pacientes se puede observar un pequeño porcentaje de promielocitos y mayor proporción de células maduras del linaje granulocítico. Las células inmaduras suelen presentar cuerpos de Auer en el interior del citoplasma.
  • Leucemia promielocítica aguda M3. Se caracteriza por la presencia de promielocitos anormales con núcleos deformes y granulaciones grotescas y displásicas que pueden ir acompañados de abundantes cuerpos de Auer. En esta patología existen importantes trastornos de la coagulación, lo que la distingue del resto de las leucemias.
  • Leucemia mielomonocítica aguda M4. Se caracteriza por la presencia homogénea tanto de precursores granulocíticos, como monocíticos en médula ósea, con una proporción de promielocitos y monocitos por encima del 20%. Algunos promielocitos pueden contener cuerpos de Auer.
  • Eritroleucemia (M6a). En frotis de sangre periférica se observan abundantes eritrocitos nucleados con escasos reticulocitos. Los eritrocitos nucleados pueden ser morfológicamente anormales. Hay una elevación de los mieloblastos y, pueden o no, presentar cuerpos de Auer.
  • Leucemia mielocítica aguda con displasia. Es característico en este tipo de leucemia que en frotis de médula ósea se observe: cuerpos de Auer, maduración megaloblastoide, así como también hiposegmentación del núcleo e hipogranulación en el citoplasma. En tanto que en frotis de sangre periférica suelen verse blastos circulantes, alto porcentaje de monocitos, presencia de neutrófilos hipogranulares, basofilia y formas seudo-Pelger Huert.
  • Leucemia mielocítica crónica con transformación blástica. Presenta de un 5 a 19% de blastos en sangre periférica, y algunos promonocitos poseen bastones de Auer.
  • Otras causas. Se ha podido observar que un bajo porcentaje de pacientes con trastornos oncológicos han desarrollado una leucemia mieloide o un síndrome mielodisplásico después de recibir tratamiento con quimioterapia y radioterapia. Especialmente aquellos que han sido tratados con agentes alquilantes y con epipodofilotoxinas. Otras situaciones en las que ha sido posible observar los cuerpos de Auer son en pacientes que han sufrido algún tipo de infección bacteriana o intoxicación. También han podido observarse en embarazadas y en quemados. Por otra parte, estas células son incapaces por sí solas de madurar, por lo que se creía que los cuerpos de Auer solo se podían encontrar en las células inmaduras y que además era imposible que estas células anormales volvieran a la normalidad. Sin embargo, recientes descubrimientos derrumban esta teoría: se supo que los pacientes con leucemia promielocítica aguda tratados con ácido trans-retinoico tenían una alta tasa de remisión, pero el hallazgo más curioso fue que las células maduras de estos pacientes conservaban la marca patognomónica de la enfermedad (presencia de los bastones de Auer). Esto sugiere que el tratamiento hace que las células inmaduras anormales puedan madurar.
Puede servirte:   Células cribosas

Referencias

  1. Bastones de Auer. Recuperado de es.wikipedia.org.
  2. Díaz, J., Aparicio, U. Leucemias agudas y síndromes mielodisplásicos secundarios al tratamiento oncológico. An. Med. Interna, Recuperado de scielo.isciii.es.
  3. González, M., Zoot, M., Caraballo, A. Leucemia mieloide aguda. Reporte de un caso. Rev. Colomb. Cienc. Pecu. Recuperado de redalyc.org.
  4. Solís, E., Valbuena, V. Leucemia aguda mieloide M3 (promielocítica) Rev. Mex. Patol. Clin. Recuperado de medigraphic.com.
  5. Mateo, M., Toll, T., Estella, T. Clasificaciones morfológicas de las leucemias agudas. But. Soc. Cat, Pediat. Recuperado de webs.academia.cat.

Cita este artículo

Lifeder. (31 de enero de 2024). Bastones de Auer. Recuperado de: https://www.lifeder.com/bastones-de-auer/.

Compartir

Por Marielsa Gil

Bioanalista/Microbióloga, Especialista en Docencia para la Educación Superior y Magíster en Tecnología Educativa. Docente en la Escuela de Medicina de la Universidad de Carabobo, Venezuela. Miembro de la Sociedad Venezolana de Microbiología.
Última edición el 31 de enero de 2024.

Índice

Ver también

Lee también

¿Cuántas células tiene el cuerpo humano?
¿Qué es la citocinesis y cómo se produce?
Meiosis
Pseudópodos
Plasmodesmos
Cinetocoro: qué es, formación, funciones
Evolución celular
Amiloplastos
Células ciliadas
Endocitosis mediada por receptor
Endocitosis
Cilios
  • Términos y Condiciones
  • Política de Privacidad y Política de Cookies
  • ¿Quiénes somos?
  • Contacto

© Lifeder 2026 | All Rights reserved.