
¿Qué es Coxiella burnetii?
Coxiella burnetii es una bacteria gramnegativa que afecta el organismo de ciertos animales, causando la enfermedad conocida como fiebre Q. Su nombre se debe al investigador Cornelius Phillip, quien en 1948 propuso denominarla Coxiella burnetii en honor a Herald Rea Cox y a Macfarlane Burnet, que trabajaron arduamente en su estudio, específicamente en su identificación y en el efecto que ocasionaba en sus huéspedes.
La fiebre Q no es una enfermedad potencialmente mortal. Sin embargo, hay personas en las que puede afectar algunos órganos importantes, como el hígado, los pulmones y el corazón, generando daños que podrían ser irreversibles.
La bacteria es altamente infecciosa, especialmente si sus partículas son inhaladas. Tanto, que los especialistas consideran que puede utilizarse en bioterrorismo. Por esto, ha sido clasificada en la categoría B de los agentes potenciales de bioterrorismo.
Características de Coxiella burnetii
– Gramnegativa. Bacteria que, al someterse al proceso de tinción de Gram, adquiere una coloración fucsia. Esto se debe a que la pared celular conformada por peptidoglicano que se encuentra en su membrana celular doble es sumamente delgada. Al ser tan delgada, esa pared es incapaz de retener las partículas del colorante de Gram, por lo que adoptan el característico color rosado de las bacterias gramnegativas.
– Aeróbica. Para desarrollarse y poder vivir requiere de un ambiente donde esté presente el oxígeno.
– Patógeno intracelular obligado. Significa que requiere estar obligatoriamente en el interior de las células de su huésped. Esto es así porque se reproduce en unas estructuras conocidas como fagolisosomas, que son el resultado de la fusión de dos organelos citoplasmáticos: los lisosomas y los fagosomas.
– Altamente resistente a condiciones ambientales adversas. Puede resistir exitosamente niveles extremos de pH, temperatura y humedad. Asimismo, se ha demostrado que puede llegar a ser inmune a la acción de ciertos compuestos químicos, como los desinfectantes.
– Patógena. Es capaz de causar una enfermedad en sus huéspedes, conocida como fiebre Q. Infecta las células y se reproduce en su interior, para luego ser liberada y causar estragos en el organismo del huésped, el cual generalmente es un mamífero, como el ser humano.
– Tamaño. Oscila entre 0.5-1 micra de largo y 0.2-0.4 micras de ancho aproximadamente.
– Forma. Presenta forma de bacilo (alargada), aunque algunos especialistas prefieren indicar que su forma se ubica entre los cocos y los bacilos, por lo que son cocobacilos.
– Variantes morfológicas. Puede presentar dos: la variante de gran talla (LCV) y la variante de pequeña talla (SCV). Esta última se asemeja mucho a las esporas desde el punto de vista morfológico y constituye la forma infecciosa de la bacteria.
Taxonomía de Coxiella burnetii
- Dominio: Bacteria.
- Reino: Monera.
- Filo: Proteobacteria.
- Clase: Proteobacteria Gamma.
- Orden: Legionellales.
- Familia: Coxiellaceae.
- Género: Coxiella.
- Especie: Coxiella burnetii.
Hábitat de Coxiella burnetii
Tomando en cuenta que es una bacteria que infecta principalmente al ganado vacuno, ovino y caprino, es factible afirmar que su hábitat natural son los sitios donde se encuentran estos animales. Asimismo, es importante mencionar que se pueden encontrar en el interior de garrapatas.
Como se sabe, esta bacteria puede encontrarse como esporas inactivas en el suelo, que puede ingerir alguna víctima potencial. Su reservorio principal son los animales ya mencionados, por lo que es muy frecuente encontrarla en granjas.
En lo que respecta a su distribución, se puede afirmar sin lugar a dudas que esta bacteria es ubicua, es decir, se encuentra ampliamente distribuida por toda la geografía mundial.
Ciclo biológico de Coxiella burnetii
El ciclo biológico de Coxiella burnetii es un poco complejo, ya que involucra a sus dos formas morfológicas, la variante de gran talla, conocida por sus siglas LCV, y la de pequeña talla, o SCV.
- Ingreso a la célula. La forma infecciosa de la bacteria es la variante de pequeña talla (SCV), altamente resistente a las condiciones ambientales adversas y presenta un metabolismo poco activo. Esta se une a unas proteínas que se encuentran en la superficie de las células eucariotas, las integrinas. De esta forma logra acceder al interior de la célula.
- En el interior celular. Una vez dentro, unos 5 minutos después, es asimilada por una estructura celular, el fagosoma. Este, a su vez, se fusiona con otras estructuras denominadas lisosomas, formando una macroestructura llamada fagolisosoma. Esto ocurre aproximadamente entre 2 horas y 2 días después de que la bacteria ingresa a la célula. Es importante destacar que en cada fagolisosoma hay una célula bacteriana. Sin embargo, las células no son infectadas por una sola bacteria, sino por miles, por lo que en un momento dado, hay muchísimos fagolisosomas con células bacterianas en su interior. Posteriormente, a través de mecanismos que todavía no están muy claros, los fagolisosomas entran en contacto y sus membranas se fusionan, formando una vacuola de gran tamaño que ocupa casi todo el interior de la célula. Un elemento determinante en la continuidad del ciclo es el nivel del pH, que es ácido, encontrándose entre 4,7 y 5,2 aproximadamente. El pH ácido tiene un efecto activador en la bacteria, potenciando su metabolismo, haciendo que las SCV se transformen en la variante de gran talla (LCV). Estos eventos se dan antes de cumplir 6 días de la infección. Contrario a lo que ocurre con las SCV, las LCV tienen un metabolismo bastante activo, lo que permite que comiencen a dividirse mediante fisión binaria. Tras esto, transcurridos 6 días o más después de la infección, las LCV son capaces de generar SCV, así como también algunas esporas, con la capacidad de salir de la célula huésped e infectar a otras células.
Vector de Coxiella burnetii
El principal vector de Coxiella burnetii son las garrapatas, específicamente las de las familias Ixodidae y Argasidae.
- Garrapatas de la familia Ixodidae. Son conocidas entre los especialistas como “garrapatas duras”, ya que presentan una especie de coraza resistente, localizada principalmente en la parte dorsal de su cuerpo. Asimismo, en la parte anterior del cuerpo se pueden evidenciar las piezas bucales con las que se fijan a su huésped para alimentarse. De acuerdo a los especialistas que han estudiado su comportamiento, las garrapatas de la familia Ixodidae se mantienen unidas a su huésped durante un tiempo más prolongado que garrapatas de otras familias.

- Garrapatas de la familia Argasidae. Estas garrapatas son lo opuesto a las anteriores. Por ejemplo, no tienen el cuerpo cubierto por una coraza, sino que está, en cierta forma, desnudo. Además, los elementos morfológicos, como la cabeza y sus piezas bucales, son visibles solamente cuando se ve a la garrapata por su parte inferior. Estas garrapatas no permanecen fijas al huésped durante mucho tiempo, sino que se alimentan de él en períodos cortos. Como dato de interés, tienen varios estadios de ninfa durante su desarrollo. En cada estadio se alimenta de un huésped distinto.
Enfermedad causada por Coxiella burnetii
Coxiella burnetii es el agente causal de la fiebre Q.
Esta enfermedad es considerada una zoonosis, ya que su reservorio natural es el ganado vacuno, bovino y caprino. Sin embargo, a través de diferentes mecanismos es posible que Coxiella burnetii sea transmitida al ser humano y de esta manera causar algún desequilibrio, desencadenando una serie de síntomas y signos que, en la mayoría de los casos, son agudos.
Los grupos etiológicos de riesgo están representados por personas que trabajan en granjas y que están en constante contacto con los animales ya mencionados. Ha llamado poderosamente la atención el contagio de esta enfermedad en personas que laboran en instituciones de cuidado veterinario.
- Contagio. Existen varias formas por las cuales el ser humano se puede infectar con Coxiella burnetii.
- Por inhalación. La forma más común de transmisión es la inhalación, pues la bacteria suele encontrarse en la leche de los animales infectados, las heces, la orina y, más aún, en los fragmentos de la placenta y en el cordón umbilical. Cuando una persona inhala partículas de la bacteria, lo más seguro es que termine desarrollando la fiebre Q, ya que la virulencia de este microorganismo es elevada. Igualmente, los especialistas han determinado que es capaz de infectar a ciertos microorganismos como amebas, las cuales en ocasiones se encuentran en sistemas de aire acondicionado. Indiscutiblemente, es una de las formas por las cuales el ser humano podría inhalar partículas bacterianas.
- Por acción de un vector. Como se sabe, la garrapata es uno de los animales que tiene un papel importante en el ciclo biológico de Coxiella burnetii. Cuando pica a un animal infectado, adquiere la bacteria y, posteriormente, cuando pica a un animal sano, la inocula en este. Sin embargo, lejos de lo que se pueda pensar, la infección en seres humanos producto de la picadura de una garrapata es poco frecuente.

-
- Por contacto directo humano-humano. La transmisión de una persona infectada a otra sana es excepcional. En la literatura médica hay algunos casos de contagio a través de hemoderivados y también mediante las relaciones sexuales desprotegidas. Esto último es posible porque en diversas investigaciones se han encontrado partículas bacterianas en líquidos corporales, como el semen.
- Por la ingestión de alimentos infectados. En los animales infectados, la bacteria puede encontrarse en la leche. Por esto, muchos afirman que la ingesta de alimentos provenientes de animales infectados podría ser una vía válida de contagio. Sin embargo, no existen registros confiables y verídicos a través de los cuales se evidencie el contagio de Coxiella burnetii por la ingesta de queso o de derivados lácteos.
- Síntomas. La mayoría de las personas quienes padecen fiebre Q permanecen asintomáticas, es decir, no presentan síntomas. Sin embargo, hay otros que sí manifiestan un cuadro clínico agudo, que puede aparecer de forma súbita. Entre los síntomas se pueden encontrar:
- Fiebre, en un principio moderada, pero conforme pasa el tiempo puede incluso llegar a 41 °C (105°F).
- Escalofríos.
- Cansancio, que puede ser extremo.
- Dolor de cabeza intenso.
- Síntomas respiratorios, como tos y dolor torácico pleurítico.
- Síntomas digestivos, como diarrea, vómitos y náuseas.
- Hepatomegalia.
Si la infección se convierte en crónica, el paciente puede llegar a desarrollar afecciones como endocarditis, insuficiencia renal e incluso hepatitis.
- Tratamiento. Tomando en cuenta que la fiebre Q es causada por una bacteria, el tratamiento es con antibióticos, usualmente doxiciclina. El tiempo de duración del tratamiento depende de si es agudo o crónico. En el primer caso, el tratamiento se debe administrar por espacio de 2 a 3 semanas. Pero en el caso de infecciones crónicas, el tratamiento puede llegar a durar hasta 18 meses. Asimismo, en caso de haber complicaciones que involucren otras estructuras, como órganos del sistema nervioso central o el hígado, deben administrarse otro tipo de medicamentos. En el caso de las personas con problemas en el hígado, deben tomar también prednisona, en tanto que quienes padecen de meningoencefalitis, también deberán hacer una terapia con fluoroquinolona. El tratamiento quirúrgico puede ser necesario en pacientes que sufren de endocarditis producto de la infección por Cloxiella burnetii. Podrían necesitar cirugía para modificar o cambiar las válvulas aurículoventriculares.
- Pruebas químicas para detectarla. El diagnóstico de la infección por Coxiella burnetii es posible a través de varios procedimientos.
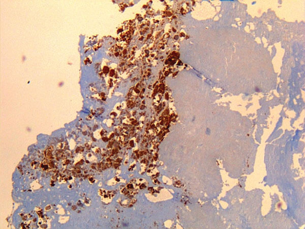
- Inmunofluorescencia indirecta del tejido infectado. Técnica más utilizada para diagnosticar la infección por Coxiella burnetii. Esta prueba sirve básicamente para determinar la presencia de anticuerpos contra la bacteria. El procedimiento es el siguiente: primero, se administra el factor reumatoide, para eliminar las posibilidades de algún falso positivo por detección de Inmunoglobulinas IgM. Seguidamente, sobre un portaobjetos se colocan antígenos de la bacteria. Luego, sobre este sustrato se coloca una muestra del tejido. Si en la muestra está la bacteria, se formarán allí anticuerpos contra ella y, en consecuencia, se forma el conocido complejo “antígeno-anticuerpo”. Inmediatamente, a esto se le agrega una anti inmunoglobulina humana conjugada con fluoroformo. Esta inmunoglobulina reacciona con el anticuerpo del complejo antígeno-anticuerpo que se formó inicialmente. Finalmente, se ve en microscopio de inmunofluorescencia y allí se confirma el diagnóstico.
- Reacción en cadena de la polimerasa (PCR). El PCR es una técnica cuya finalidad es amplificar pequeños fragmentos de ADN. Esta técnica se puede aplicar en suero o muestras recolectadas en biopsia, o también en el suero o la sangre. A pesar de que es un examen altamente sensible, un resultado negativo no excluye necesariamente el diagnóstico de una infección por Coxiella burnetii. Para algunos especialistas, es un examen complementario, ya que el análisis determinante es el de inmunofluorescencia.
- Otros exámenes sanguíneos. Hay algunas anomalías que se evidencian en un hemograma completo que le pueden dar al médico una orientación acerca del diagnóstico de infección por Cloxiella burnetii. Un elevado porcentaje de infectados por la bacteria presentan leucocitosis, que es un incremento de los niveles de glóbulos blancos (leucocitos) en sangre. Asimismo, la elevación de ciertas enzimas, como la aspartato aminotransferasa, la fosfatasa alcalina y la alanina transaminasa, indican que el paciente podría estar infectado por Coxiella burnetii. En este sentido, cuando el médico detecta estas anomalías, sumado al cuadro clínico del paciente, puede sospechar de una infección por la bacteria. De ser así, deberá ordenar un examen cuyo resultado sea definitivo, como el de la inmunofluorescencia.