
¿Qué son las placas de Peyer?
Las placas de Peyer son regiones anatómicas ubicadas bajo la mucosa del tracto gastrointestinal, específicamente en la lámina propia del intestino delgado. Son sitios de agregación de gran cantidad de linfocitos y otras células accesorias, por lo que representan parte del sistema inmunitario de las mucosas.
Como las amígdalas en la faringe y los folículos linfoides en la submucosa del apéndice, las placas de Peyer se asemejan a los ganglios linfáticos respecto a su estructura y su función, con la diferencia de que las placas no están encapsuladas como los ganglios.
La respuesta inmune (el sistema de defensa del cuerpo contra agentes “invasores” externos) está mediada por varios tipos de células, siendo los linfocitos de las más importantes, pues gracias a su capacidad de reconocimiento de antígenos, se encargan de desencadenar las respuestas inmunitarias específicas.
Las placas de Peyer fueron descritas en 1645 como “folículos linfoides” por el italiano Marco Aurelio Severino, pero fue en 1677 que se acuñó el término de “placas de Peyer” en honor al patólogo suizo Johann Conrad Peyer, quien las describió detalladamente.
Su función, sin embargo, fue determinada muchos años después, en 1922, cuando Kenzaburo Kumagai notó la capacidad de absorción de células patogénicas y foráneas desde el epitelio hasta el domo epitelial de las placas de Peyer.
Características de las placas de Peyer
– Localización. Están predominantemente en la mucosa y submucosa del íleon, la parte final del intestino delgado, aunque pueden encontrarse en menor cantidad en otras partes del intestino.
– Tamaño y forma. Estructuras ovaladas o elípticas que varían en tamaño, pero suelen tener varios milímetros de longitud. Cada placa contiene múltiples folículos linfoides.
– Organización. Se organizan en una capa basal de folículos linfoides, agrupados en zonas germinales y paracortezas, rodeadas de tejido interfolicular.
– Composición. Se componen principalmente de folículos linfoides, que a su vez contienen linfocitos B, linfocitos T, células dendríticas y macrófagos.
– Epitelio asociado. Su superficie está cubierta por un epitelio especializado, el epitelio folicular asociado (FAE, por sus siglas en inglés), que incluye células M. Las células M son importantes para el transporte de antígenos desde la luz intestinal hacia el tejido linfoide subyacente.
– Distribución y cantidad. En el intestino delgado humano hay entre 30 y 40 placas de Peyer, aunque su número puede variar según la edad y el estado de salud del individuo.
– Vascularización. Están altamente vascularizadas, con una red de capilares y vasos linfáticos que facilitan el intercambio de células y moléculas entre el intestino y el sistema inmunológico.
Funciones de las placas de Peyer
- Sistema inmune. La función principal de las placas de Peyer, como parte del sistema inmunitario de las mucosas intestinales, es proteger el “caparazón” de los intestinos de la invasión por microorganismos potencialmente patogénicos.
- Inducción de la tolerancia inmune “oral”. Las placas de Peyer participan en la absorción de células foráneas o patogénicas, sin embargo, se ha demostrado que las células pertenecientes a dicha región también son capaces de distinguir entre ciertos antígenos y entre las bacterias no patogénicas asociadas con el tracto intestinal. A este proceso de reconocimiento de lo no patogénico se le conoce como “tolerancia oral” y es un proceso activo que conlleva la formación de linfocitos T específicos capaces de evitar el desencadenamiento de una respuesta inmunológica innecesaria.
- Respuesta inmunitaria. Cuando las células M en el epitelio de las placas de Peyer capturan antígenos de la luz intestinal, los transportan a los folículos linfoides subyacentes. Aquí, los antígenos son presentados a los linfocitos B y T, lo que desencadena la activación de estas células y la producción de una respuesta inmunitaria adaptativa.
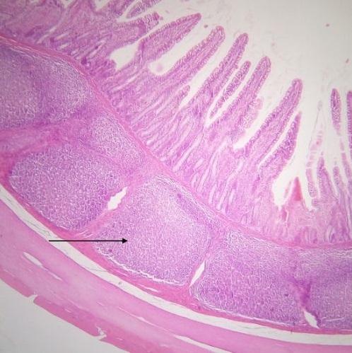
Histología de las placas de Peyer
Forman parte de la lámina propia del intestino delgado. La lámina propia está compuesta por el tejido conectivo laxo que, al mismo tiempo, forma parte de lo que se denomina el núcleo de las vellosidades intestinales.
En la lámina propia hay diversos tipos de células plasmáticas, linfocitos, leucocitos, fibroblastos, células cebadas y otros, y las placas de Peyer son la porción de la lámina propia donde se encuentran conjuntos permanentes de nódulos o folículos linfoides.
- Estructura. Las placas de Peyer se distinguen arquitectónicamente en tres dominios principales conocidos como área folicular, área interfolicular y epitelio asociado a los folículos linfoides.
- Área folicular e interfolicular. Esta región está comprendida por los nódulos o folículos linfoides característicos de las placas de Peyer que se componen de células B (linfocitos B) rodeadas de una porción menos compacta (laxa) de células T (linfocitos T) y muchas células dendríticas foliculares o “células presentadoras de antígeno” (APC, del inglés Antigen Presenting Cells). La porción donde están los linfocitos o las células B replicativas, las células dendríticas y los macrófagos se denomina “centro germinal”. Cada folículo linfoide, a su vez, está rodeado por una “corona” o domo subepitelial. El domo subepitelial también posee una mezcla de células linfoides (linfocitos B y T), células dendríticas foliculares y macrófagos, y esto representa el área interfolicular. Algunas investigaciones sugieren la presencia de otro tipo especializado de células, los eosinófilos, cuya proporción aumenta después de la exposición a alérgenos orales.
- Epitelio asociado a los folículos linfoides. El íleon está recubierto por un epitelio simple (una sola capa de células) dispuesto cilíndricamente. Sin embargo, en las regiones adyacentes a los folículos linfoides de las placas de Peyer hay gran cantidad de células escamosas, conocidas como células M, células de micropliegues o células de membrana especializadas. Aparentemente, la función principal de las células M es capturar antígenos y dirigirlos o transferirlos hacia unos macrófagos que también están asociados con las placas de Peyer. Las células M no poseen microvellosidades y están activamente realizando pinocitosis para conseguir el transporte desde la luz del intestino delgado hacia los tejidos subepiteliales. El sistema inmune asociado a las mucosas está conectado con el resto del sistema inmune corporal gracias a la capacidad de activación y migración de los linfocitos T de las placas de Peyer, que pueden alcanzar la circulación sistémica para ejercer sus funciones inmunitarias.
- Otras características distintivas. El epitelio asociado a los folículos linfoides tiene una escasa producción de moco, además las enzimas digestivas se expresan pobremente y los patrones de glicosilación de los elementos asociados con el glicocálix son diferentes.
- Vasculatura de las placas de Peyer. A diferencia de otros tejidos linfoides, como los ganglios linfáticos, las placas de Peyer no poseen vasos linfáticos aferentes que transporten linfa hacia su interior. No obstante, sí poseen vasos linfáticos eferentes, capaces de transportar linfa fuera de los folículos linfoides. Las células dentro de las placas están irrigadas por arteriolas o vasos sanguíneos pequeños capaces de formar un lecho capilar drenado por vénulas de endotelio alto.
Enfermedades relacionadas con las placas de Peyer
- Enfermedad de Crohn. Patología inflamatoria caracterizada por la inflamación recurrente del tracto digestivo. La implicación de las placas de Peyer en esta enfermedad se debe a que las lesiones típicas suponen el desencadenamiento de respuestas inmunes adaptativas o innatas a la flora bacteriana. Además, parece que la enfermedad de Crohn afecta especialmente la porción distal del íleon, justo donde se encuentra una copiosa cantidad de placas de Peyer.
- Enfermedad de injerto contra hospedador, o Graft versus Host Disease (GvHD). Esta condición es como una “batalla” entre injertos o trasplantes de un paciente a otro genéticamente no compatible. Se piensa que la interacción entre la flora bacteriana y la respuesta inmune epitelial contribuye a la elicitación de las señales inflamatorias que promueven la estimulación de las células T derivadas del donante, mediada por las células presentadoras de antígeno del hospedador.
Referencias
- Bonnardel, J., DaSilva, C., Henri, S., Tamoutounour, S., Chasson, L., Montañana-Sanchis, F., Lelouard, H. Innate and Adaptive Immune Functions of Peyer’s Patch Monocyte-Derived Cells. Cell Reports.
- Gartner, L., Hiatt, J. Texto Atlas de Histología (2nd ed.). McGraw Hill Interamericana Editores.
- Jung, C., Hugot, J., Barreau, F. Peyer’s Patches: The Immune Sensors of the Intestine. International Journal of Inflammation.
- Kogan, A.N., von Andrian, U.H. Lymphocyte Trafficking. In Microcirculation.
- Mayrhofer, G. Peyer’s patch organogenesis – Cytokines rule, ok? Gut.