
¿Qué son las glándulas de Brunner?
Las glándulas de Brunner son glándulas del duodeno que tienen la función de secretar un líquido alcalino como respuesta al estímulo parasimpático. Situadas en la capa submucosa de la pared del duodeno, son glándulas acinotubulares con conductos curvos y extremos ramificados que desembocan en las criptas de Lieberkühn a través de la muscularis mucosae.
Estas glándulas son responsables de la mayor parte de la secreción del jugo intestinal, un líquido claro con abundante moco que contiene bicarbonato y una hormona llamada urogastrona, que es un factor de crecimiento epidérmico humano y un inhibidor de la secreción gástrica de HCl.
Esta secreción diluye y neutraliza el contenido gástrico ácido que se vacía en el duodeno. El duodeno es el segmento más corto del intestino delgado, con unos 25 cm de largo, el cual conecta el estómago con el yeyuno.
La estimulación vagal parasimpática (colinérgica) activa la secreción de las células en las glándulas de Brunner, aumentando la producción de moco y líquido que se vierte al duodeno. La ingestión de alimentos irritantes (físicos o químicos) también estimula la secreción en dichas glándulas.
Existen múltiples patologías que afectan la función del duodeno al dañar las glándulas de Brunner, ya que este recibe las secreciones pancreáticas y biliares a través de los conductos pancreáticos y colédoco, respectivamente.
Características de las glándulas de Brunner
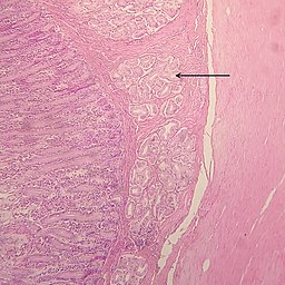
– Ubicación. Se encuentran exclusivamente en la submucosa del duodeno, principalmente en la primera parte, cerca del píloro, y disminuyen en cantidad hacia el final del duodeno.
– Estructura. Son glándulas acinotubulares ramificadas, lo que significa que tienen conductos ramificados que terminan en ácinos, donde se produce su secreción.
– Células. Sus células secretoras presentan características típicas de células que producen moco y bicarbonato. Estas células tienen citoplasma claro y gran cantidad de retículo endoplasmático rugoso y aparato de Golgi, responsables de la producción de secreciones.
– Tamaño. Son grandes comparadas con otras glándulas presentes en el intestino, y pueden ocupar una porción considerable de la submucosa duodenal.
– Distribución en la submucosa. Están dispersas a lo largo de la submucosa y pueden estar rodeadas por tejido conectivo laxo, lo que les permite extenderse hacia la mucosa en algunas áreas.
– Ductos. Se conectan a la superficie del epitelio del duodeno por pequeños conductos que transportan sus secreciones hacia la luz intestinal.
– Inervación y vascularización. Están bien irrigadas y poseen inervación que regula su actividad secretora en respuesta a estímulos, como la llegada de alimentos al duodeno.
Histología de las glándulas de Brunner
Las glándulas de Brunner son especialmente abundantes en la mucosa y la submucosa que se encuentra rodeando la musculatura duodenal en el intestino delgado.
Tienen forma tubular y se ramifican de una forma muy comprimida a lo largo de los epitelios del duodeno y el yeyuno. Todas las células de estas glándulas tienen la forma típica de los ácinos glandulares.
Las células de estas glándulas están especializadas en la secreción de sustancias, tienen forma de ductos agrupados en cúmulos arboriformes que terminan en poros especializados para la secreción.

Algunos médicos las catalogan como una de las glándulas exocrinas pluricelulares más importantes y abundantes dentro del cuerpo humano, ya que están encargadas de la secreción de moco, de pepsinógeno y de la hormona urogastrona en respuesta a agentes ácidos.
Diversos estudios han demostrado que estas glándulas disminuyen su cobertura del intestino delgado de forma progresiva, inversamente proporcional a la edad (mientras más años, menos glándulas).
En infantes se calcula que ocupan un 55% del duodeno y en personas mayores de 50 años solo ocupan un 35% de la superficie del intestino.
Se activan en respuesta a sustancias ácidas en el duodeno y diferentes investigaciones han encontrado que la hormona secretina es un potente activador de sus mecanismos de secreción. Sin embargo, aún no se entienden con certeza los mecanismos que disparan su activación.
Funciones de las glándulas de Brunner
- Secreción de moco alcalino. Producen moco con un alto contenido de bicarbonato, de naturaleza alcalina. Este moco ayuda a neutralizar el ácido clorhídrico proveniente del estómago, protegiendo el revestimiento del duodeno del daño causado por el contenido gástrico ácido.
- Protección de la mucosa duodenal. Al recubrir el epitelio con moco, las glándulas de Brunner protegen la mucosa duodenal contra la erosión y la irritación que pueden provocar las enzimas digestivas y el ácido.
- Establecimiento de un ambiente óptimo para las enzimas pancreáticas. Al neutralizar el ácido estomacal, las glándulas de Brunner crean un pH más alcalino en el duodeno, que es el entorno adecuado para que las enzimas pancreáticas (como la amilasa, lipasa y proteasas) funcionen efectivamente en la digestión de los nutrientes.
- Lubricación del duodeno. El moco secretado también facilita el paso del quimo (el contenido parcialmente digerido proveniente del estómago) a través del duodeno, lo que mejora la digestión y absorción de nutrientes.
- Estimulación de la secreción hormonal. Pueden desempeñar un papel en la regulación de otras secreciones del tracto digestivo al interactuar con hormonas como la secretina y la colecistoquinina, que coordinan la digestión en el duodeno.
Patologías relacionadas con las glándulas de Brunner
Las patologías provocadas por afecciones en las glándulas de Brunner van desde las hiperplasias por hiperestimulación hasta la formación de tumores o neoplasias.
De estas patologías, las más comunes son producto del recrecimiento excesivo de las glándulas, conocidos como “adenomas de las glándulas de Brunner”. Estas no son muy frecuentes y tampoco letales, ya que representan aproximadamente el 0.008% de todas las autopsias estomacales examinadas.
Existen patologías relacionadas con estas glándulas que implican la proliferación o recrecimiento excesivo de las mismas, y han sido clasificadas en tres grupos:
- Hiperplasia nodular difusa o hiperplasia difusa. Se produce en pacientes con úlceras en el duodeno, generalmente por una hiperestimulación de las glándulas que segregan ácidos gástricos al estómago, lo que termina en una hiperacidificación e inflamación aguda del duodeno.
- Hiperplasia nodular circunscrita o hiperplasia limitada al bulbo duodenal. Esta enfermedad es la más frecuente en las glándulas de Brunner y produce un recrecimiento de los nódulos glandulares pequeños en la región del duodeno proximal. Los recrecimientos generalmente son tumores pequeños.
- Hiperplasia adenomatosa o hamartoma de las glándulas de Brunner. Es una lesión localizada en un único tumor, con tamaños alrededor de los 4 cm. Los pólipos celulares afectados generalmente se encuentran pediculados y están asociados con duodenitis o inflamación del duodeno.
Referencias
- Friend, D.S. The fine structure of Brunner’s glands in the mouse. The Journal of cell biology.
- Henken, E.M., Forouhar, F. Hamartoma of Brunner’s gland causing partial obstruction of the ileum. Journal of the Canadian Association of Radiologists.
- Hol, J.W., Stuifbergen, W.N.H.M., Teepen, J.L.J.M., van Laarhoven, C.J.H.M. Giant Brunner’s Hamartomas of the Duodenum and Obstructive Jaundice. Digestive surgery.
- Stening, G.F., Grossman, M.I. Hormonal control of Brunner’s glands. Gastroenterology.
- Yadav, D., Hertan, H., Pitchumoni, C.S. A giant Brunner’s gland adenoma presenting as gastrointestinal hemorrhage. Journal of clinical gastroenterology.